고환은 남성의 음낭 내에 있는 생식기로 한 쌍으로 이루어져 있으며, 레이디히세포(Leydig cells)또는 간질세포(interstitial cells)와 정세관의 두 가지 주요한 구조로 이루어져 있습니다. 성인의 정세관은 서톨리세포(Sertoli cells)와 생식세포로 구성되어 있으며, 서톨리세포는 기저막을 따라 존재하며 생식세포의 분화에 필수적인 환경을 제공합니다.
고환암은 고환에 발생하는 악성 종양으로, 임상적으로 종자세포종양과 비종자세포종양으로 나뉩니다. 종자세포종양에는 정상피종, 배아암, 기형종, 융모막암종, 난황주머니종양이 있습니다.
고환암의 원인은 잠복고환, 과거력이 있는 경우, 가족력이 있는 경우 등의 선천적 요인과 외상, 산모가 임신 중 여성호르몬 투여, 고환위축이 올 수 있는 화학물질에 노출, 볼거리 바이러스 감염 등의 후천 요인이 원인이 될 수 있습니다.
사춘기 이상의 남성은 매달 고환 자가 검진을 시행하며 음낭이 커졌거나 딱딱한 종물이 만져진다면 영상 진단법 및 혈청 종양 표지자 검사 등이 진단에 도움을 줍니다.
주증상은 통증 없이 서서히 커지는 단단한 무통성의 결절이 고환에서 만져지는 것입니다. 약 10%에서는 고환 내 출혈이나 경색으로 인한 급성 통증을 동반하기도 합니다. 일부 고환암은 여성형 유방을 보이며, 특히 융모암인 경우 특징적으로 나타납니다.
고환암의 진단방법으로는 신체검진, 음낭초음파검사, 단순흉부촬영, 복부 전산화단층촬영(CT), 양전자방출단층촬영이 있으며, 고환암은 종류에 따라서는 특이한 표지단백을 생성하는데, 알파태아단백 (alpha-fetoprotein,α-FP), 융모성선자극호르몬 (beta-human chorionic gonadotropin,β-hCG), 젖산탈수소효소(Lactic dehydrogenase, LDH)는 진단과 병기결절, 치료반응 판단 및 예후 분석에 도움을 줍니다. 감별진단 질환으로는 음낭수종, 부고환염, 서혜부탈장, 정맥류, 고환염전 등이 있습니다.
고환암은 외과적 수술, 방사선 및 항암치료의 병합요법으로 전체적으로 70~80%의 높은 치유율을 보입니다. 최근에는 기존의 치료효과를 유지하면서, 불임이나 신경손상 등 치료에 의한 후유증을 줄이기 위한 방법들이 모색되고 있습니다.
후복막림프절절제술로 인해 불임이 초래될 수 있으며, 방사선치료나 항암요법 후에는 돌연변이성 정자가 나타날 위험이 크고 불임이 초래됩니다.
융모암을 제외한 대부분의 고환암은 주로 림프절을 통해서 전이합니다. 고환암은 대개 후복막강의 림프절로 전이된 후 폐나 다른 장기로 전이됩니다. 융모암인 경우는 림프전이보다는 혈행을 따라 빠르게 전이되므로 초기에서도 거의 다른 부위로 전이된 상태를 보입니다. 1기 정상피종은 근치적 고환절제술 후 예방적 방사선치료 후의 재발은 3~5%에서 나타나며, 2년 이상 경과한 후의 재발 사례도 있습니다. 1기 비정상피종의 재발은 첫 10개월 이내에 주로 일어나며 최근에는 5년 이상의 만기 재발 사례도 보고되고 있어 엄격한 추적 검사가 필요합니다.
고환은 남성의 음낭 내에 있는 생식기입니다. 고환은 한 쌍으로 이루어져 있으며 각각의 크기는 보통 4×3×2.5cm의 타원형이고, 부피는 15-30ml 정도로 평균은 약 19ml입니다.

[남성생식기계의 구조]
고환은 레이디히세포(Leydig cells) 또는 간질세포(interstitial cells)와 정세관의 두 가지 주요한 구조로 이루어져 있습니다. 레이디히세포에서는 중요한 남성호르몬인 테스토스테론을 분비하며, 정세관은 남성 생식 생활 기간 동안 매일 약 3천만 개의 정자를 만듭니다. 성인의 정세관은 서톨리세포(Sertoli cells)와 생식세포로 구성되어 있습니다. 서톨리세포는 기저막을 따라 존재하며 생식세포의 분화에 필수적인 환경을 제공합니다.

[고환 및 부고환의 구조]
고환은 백막(tunica albuginea)으로 덮여 있고, 고환동맥에서 혈액공급을 받습니다. 혈관과 림프관의 분포가 매우 풍부하며 부교감신경과 흉추에서 나오는 교감신경의 지배를 받습니다.
고환은 태아기에 복강에서 발생하여 임신 24~35주 정도에 음낭 내로 하강합니다.
고환의 두 가지 주요한 기능은 정자의 생산과 남성호르몬의 합성분비입니다. 남성호르몬은 남성의 성적성숙에 필수적입니다. 남성호르몬은 성선자극호르몬의 분비를 조절하고 근육의 발달을 조절하며, 발기기능에 중요한 영향을 주는 시상하부에 작용합니다.
고환암은 고환에 발생하는 악성 종양으로, 남성의 악성 종양 중 약 1%정도를 차지하는 비교적 드문 질환이지만 15세에서 35세 사이의 남성에서 흔한 종양 중의 하나입니다. 그러나 영상진단방법의 발달 및 종양지표의 개발로 치료 효과에 대한 정확한 판단을 내릴 수 있으며, 방사선학적으로 발견되는 잔존 병소의 수술적 치료와 방사선 치료법, 항암화학요법의 발전 및 개발로 인해 현재는 모든 고형종양 중 가장 예후가 좋은 종양입니다.
고환암의 주요 증상은 통증 없이 서서히 커지는 단단한 무통성의 결절이 고환에서 만져지는 것입니다. 약 10%에서는 고환 내 출혈이나 경색으로 인한 급성 통증을 동반하기도 합니다. 고환암이 진전되면 일반적으로 복통과 서혜부 통증, 무거운 느낌이 나타납니다.
고환암은 림프절이나 폐로 직접 전이되기도 하고 혈관이나 림프관을 통해 전이되기도 합니다. 전이의 증상은 쇄골 상부나 복부에 덩어리가 만져지고 후복막림프절 전이에 의한 요통, 폐 전이에 의한 기침과 호흡곤란, 십이지장 전이에 의한 식욕부진 및 오심, 구토가 나타나고 골(뼈)전이에 의한 골(뼈)통증, 대정맥폐색에 의한 하지부종 등이 나타납니다. 그리고 일반적으로 체중 감소와 식욕 부진이 나타납니다. 일부 고환암은 여성형 유방을 보이며, 특히 융모암인 경우 특징적으로 나타납니다.
고환암은 이와 같이 초기에는 증상이 뚜렷하지 않고 대부분 통증이 없으므로 환자가 대수롭지 않게 생각하거나 인지한 후에도 부적절한 진단으로 치료가 늦어지는 경우가 있으며 치료가 지연되면 전이가 진행되므로 조기에 환자의 인식과 진단이 중요합니다.
고환, 림프절, 복부를 촉진합니다. 고환에 덩어리나 부종이 있는지 확인합니다. 림프절 병소, 복부 종양, 여성형 유방은 암이 전이되었음을 의미합니다.
초음파검사는 고환종양이 의심되는 모든 경우에 시행되어야 합니다. 음낭초음파 검사는 고환암의 가장 빠르고 비교적 정확한 검사로서, 고환 내 종물의 유무, 부고환의 병적 소견 및 음낭수종과의 감별진단에 도움이 됩니다.

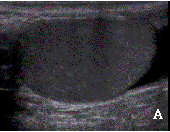
[우측고환의 초음파 사진]

[좌측 고환의 초음파 사진]
그림 (A)는 우측 정상 고환의 초음파 사진으로 타원형의 고환의 내부에 균일한 음향을 보이는 반면, 그림 (B)의 좌측 고환은 우측에 비해 고환의 크기가 증가되어 있고 불규칙한 내부 음향을 보입니다.
고환암은 폐나 종격동에 전이가 흔하게 발생하므로 이의 검사를 위해 단순흉부촬영을 시행하여야 하며, 필요한 경우 흉부 전산화단층촬영(CT)을 시행할 수도 있습니다. 그리고 폐에 전이가 된 경우라도 일단은 고환을 외과적으로 절제하여 우선 암의 조직학적 형태를 확인하는 것이 일반적입니다.
고환암의 후복막림프절 전이 여부를 확인하는 가장 정확한 방법으로 고환절제술 후 고환암의 병기 결정에 이용됩니다. 특히 항암화학요법에 대한 반응여부 등을 판정하기 위하여 시행됩니다.

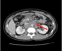
[고환암의 전이로 인한 대동맥과 대정맥 주위의 후복막림프절의 종대가 관찰되는 CT 소견]
양전자방출단층촬영은 현재까지 고환암의 표준적인 영상진단방법은 아니지만 전이 병변에 대해 진단적 유용성이 있는 것으로 보고되고 있으며 특히, 치료 후 남아 있는 종괴에서 생존하는 악성 종양과 섬유화 또는 괴사 조직과의 감별 진단에 있어서 유용한 것으로 알려져 있습니다.

[CT에서 보이는 커져 있는 후복막림프절에 강한 신호강도가 확인되는 PET-CT scan소견]
그 외 영상 진단으로 자기공명영상(MRI)은 전산화 단층 촬영과 비교하여 별다른 장점이 없고, 림프관조영술은 다른 영상 진단술의 발달로 거의 시행되지 않고 있습니다.
고환암은 종류에 따라 다음과 같은 특이한 표지단백을 생성하여 진단과 병기결정, 치료 반응판단 및 예후 분석에 도움을 줍니다.
이것은 정상적으로 태아의 혈청 내에 증가되어 있는 단백질이며 1세 이후에는 정상(15ng/ml) 이하가 됩니다. 알파태아단백은 정상피종이 아닌 경우 증가하며, 순수 융모막암종이나 순수 정상피종에서는 증가하지 않습니다.
태반의 합포체성 영양세포가 생산하는 단백질로 비(非)정상피종에서 상승하며, 정상피종에서도 약 5~10%까지 상승합니다.
젖산탈수소효소는 세포성 효소로 고환암뿐만 아니라 정상적으로 근육, 신장, 간 등에서 발견됩니다. 고환암 환자에서 젖산탈수소효소가 증가하는 이유는 암세포가 당분해작용을 일으키므로 유산의 합성이 항진되기 때문인 것으로 추정됩니다. 젖산탈수소효소는 진행된 고환암에서 전이암의 부피와 비례하므로 치료 후 추적관찰에 이용됩니다.
근치적 고환절제술 후 고환암으로 확진되면 절제된 고환의 병리적 소견, 단순흉부촬영과 복부단층촬영 및 수술 후 혈청 종양표지자의 감소양상을 종합하여 임상병기를 결정합니다. American Joint Committee on Cancer(AJCC 8th)에서 발표한 TNM병기 분류는 다음과 같습니다. 원발병소의 병기는 백막, 부고환, 정색이나 음낭벽의 침윤에 따라 구분합니다.
| TNM 병기 | 정 의 | |
|---|---|---|
| T병기 | pTX | 원발 종양을 평가할 수 없음 |
| pT0 | 고환 내 원발 종양의 증거가 없음 | |
| pTis | 상피내 생식세포 종양(상피내 암종) | |
| pT1 | 종양이 고환(고환망 포함)에 국한되어 있고, 림프관과 혈관으로의 침윤은 없음 | |
| pT1a | 종양의 크기가 3cm 미만 | |
| pT1b | 종양의 크기가 3cm 이상 | |
| pT2 | 종양이 고환(고환망 포함)에 국한되어 있되 림프관과 혈관의 침윤이 있는 경우, 또는 림프관과 혈관의 침범을 동반하거나 동반하지 않은 상태에서 종양이 문(hilum) 연부조직이나 부고환이나 백막(tunica albuginea)의 외부를 싸고 있는 장막 중피층을 침투한 경우 | |
| pT3 | 림프관과 혈관의 침범을 동반하거나 동반하지 않은 상태에서 종양이 정색(spermatic cord)을 침범한 경우 | |
| pT4 | 림프관과 혈관의 침범을 동반하거나 동반하지 않은 상태에서 종양이 음낭을 침범한 경우 | |
| N병기 | pNX | 국소 림프절 전이를 평가할 수 없음 |
| pN0 | 국소 림프절 전이가 없음 | |
| pN1 | 림프절 종괴의 크기가 2cm 이하이고 전이된 림프절의 수가 5개 이하인 림프절 전이 | |
| pN2 | 림프절 종괴의 크기가 2 cm 초과 5 cm 이하인 림프절 전이, 또는 림프절 종괴의 크기가 5cm 이하이면서 전이된 림프절의 수가 6개 이상인 림프절 전이, 또는 림프절을 넘어서는 전이의 증거가 존재 | |
| pN3 | 림프절 종괴의 크기가 5cm를 초과하는 림프절 전이 | |
| M병기 | M0 | 원격전이가 없음 |
| M1a | 후복막 림프절 이외의 림프절로의 전이 또는 폐 전이 | |
| M1b | 폐 이외의 장기로 전이 | |
| M종양 표지자 | SX | 종양 표지자 검사 결과를 확인할 수 없거나 시행되지 않음 |
| S0 | 종양 표지자 수치가 정상 범위임 | |
| S1 | LDH 〈1.5 x N* and hCG(mIU/mL) 〈5,000 and AFP(ng/mL) 〈1,000 | |
| S2 | LDH 1.5-10 x N* or hCG(mIU/mL) 〈5,000-50,000 or AFP(ng/mL) 1,000-10,000 | |
| S3 | LDH〉 10 x N* or hCG(mIU/mL)〉 50,000 or AFP(ng/mL)〉 10,000 ※N indicates the upper limit of normal for the LDH assay | |
| 병기 | 종양의 크기와 위치(T) | 림프절 전이(N) | 원격전이(M) | 혈청표지자(S) |
|---|---|---|---|---|
| 0 | pTis | N0 | M0 | S0 |
| 1기 | pT1-T4 | N0 | M0 | SX |
| 1A | pT1 | N0 | M0 | S0 |
| 1B | pT2 | N0 | M0 | S0 |
| 1B | pT3 | N0 | M0 | S0 |
| 1B | pT4 | N0 | M0 | S0 |
| 1S | Any pT/TX | N0 | M0 | S1-S3 |
| 2기 | Any pT/TX | N1-N3 | M0 | SX |
| 2A | Any pT/TX | N1 | M0 | S0 |
| 2A | Any pT/TX | N1 | M0 | S1 |
| 2B | Any pT/TX | N2 | M0 | S0 |
| 2B | Any pT/TX | N2 | M0 | S1 |
| 2C | Any pT/TX | N3 | M0 | S0 |
| 2C | Any pT/TX | N3 | M0 | S1 |
| 3기 | Any pT/TX | Any N | M1 | SX |
| 3A | Any pT/TX | Any N | M1a | S0 |
| 3A | Any pT/TX | Any N | M1a | S1 |
| 3B | Any pT/TX | N1-N3 | M0 | S2 |
| 3B | Any pT/TX | Any N | M1a | S2 |
| 3C | Any pT/TX | N1-N3 | M0 | S3 |
| 3C | Any pT/TX | Any N | M1a | S3 |
| 3C | Any pT/TX | Any N | M1b | Any S |
음낭수종, 부고환염, 서혜부 탈장, 정맥류, 고환염전 등을 감별진단 해야 합니다.
음낭수종은 음낭 내에 물이 차 있으므로 초음파검사로 비교적 쉽게 감별되지만 그 중 5~10%는 종양으로 인한 2차적 음낭수종도 있으므로 고환의 편측(한쪽)성 증대의 관찰 등 세심한 주의가 필요합니다. 유아의 음낭이 커지는 경우는 고환종양 외에도 음낭수종과 음낭헤르니아(탈장) 등이 있으나, 이 경우에는 단단한 종류는 만져지지 않습니다.
고환염과 부고환염은 감별진단이 특별히 요구되며, 이 경우에는 염증소견의 유무를 주의 깊게 관찰하는 것이 필요합니다.
고환암은 외과적 수술, 방사선 및 항암화학치료의 병합요법으로 전체적으로 70~80%의 높은 치유율을 보입니다. 따라서 최근에는 기존의 치료효과를 유지하면서, 불임이나 신경손상 등 치료에 의한 후유증을 줄이기 위한 방법들이 모색되고 있습니다.
고환암이 의심되면 우선 서혜부를 통한 근치적 고환절제술을 시행하여 원발병소를 적출하고 병리조직학적 진단을 확정합니다. 동시에 종양지표 및 전산화단층촬영 등을 종합하여 병기를 결정합니다. 이후 종양의 조직학적 분류와 임상병기에 따라 치료방침을 결정합니다.
이미 전이가 된 경우에도 종양의 세포유형을 알기 위하여 우선 시행하기도 하지만, 생명을 위협하는 전이가 있으면 먼저 항암화학요법을 시행하고 임상적으로 안정화 될 때까지 고환절제술을 연기할 수 있습니다.

[고환암의 육안소견 사진]
위의 사진은 고환 전체가 종양으로 대치되어 있으며 고환암의 정삭 침범이 관찰되는 고환암의 육안소견 사진입니다.
고환암의 전이는 대개 후복막림프절에서 일어나고 진단 시에 후복막림프절의 단독전이가 대부분이므로 후복막림프절절제술은 오래 전부터 고환암(비정상피종성 생식세포종양)의 진단 및 치료적인 목적으로 많이 시행되어 왔습니다. 임상적 적응증으로는 I-2기의 비정상피종성 생식세포 종양에 적용할 수 있습니다. 고식적인 림프절절제술의 범위는 위로는 양측 신장의 신문부, 바깥쪽으로는 양쪽 요관 및 아래로는 총엉덩동맥의 가지부까지를 포함합니다. 고식적 후복막림프절 절제술의 가장 중요한 합병증은 교감신경섬유의 손상으로 인하여 발생하는 사정장애 입니다.

[고식적 양측 후복막 림프절의 범위]
현재는 후복막림프절절제술의 중요 합병증인 사정장애를 최소화하기 위하여 변형된 후복막림프절절제술과 신경보존 후복막림프절절제술이 제안되어 시행되고 있습니다. 신경보존술은 신혈관으로부터 총엉덩동맥의 가지부까지 모든 대동맥-대정맥 사이 림프절 및 같은 쪽의 림프절을 철저하게 절제하고, 반대쪽 아래 창자간막동맥의 아래쪽은 최소한의 박리만 시행하면서 중요 신경절을 보존하는 것입니다. 이러한 수술방법으로 사정기능을 대부분 보존할 수 있습니다.

[신경보존 후복막림프절 절제술의 범위]
정상피종은 방사선 치료에 매우 높은 반응을 보이므로 저(低)병기에서는 방사선 치료의 역할이 큽니다. 방사선 조사범위는 종양의 크기, 림프절의 침범 유무, 타기관에의 전이 유무에 따라 결정됩니다.
저병기 정상피종은 근치적 고환절제술 후 예방적 방사선 조사를 실시하며, 후복막강에 전이가 있는 경우(고(高)병기 정상피종)는 방사선 조사 여부와 관계없이 재발률이 비슷하고, 횡격막 상하로 방사선 조사를 받을 경우 전신 상태가 좋지 않아 재발 후 항암화학요법을 받기 힘들어 방사선 조사보다는 병용화학요법을 우선 실시합니다.
방사선 치료 후 알파태아단백질, 융모성선자극호르몬의 수치가 상승하면 비정상피종일 가능성이 높습니다. 비정상피종은 방사선 치료에 내성이 있으므로 후복벽림프절절제술이나 근치적 림프절절제술을 즉시 시행하여야 하며, 림프절에 전이되지 않았다면 주의 깊게 추후 검사를 실시합니다.
전이의 경우에는, 내장기관에 전이되었을 때는 보통 항암화학요법을 하고 뇌나 폐에 전이가 일어났을 때는 방사선 치료를 시행합니다.
고환암의 치료에 있어서 대부분의 환자는 고환절제술 후 조직학적 소견에 의존하지만 대부분에서는 항암화학요법에 반응을 잘 하는 것으로 알려져 있습니다.
림프절 절제술 후 종양지표 수치가 상승하는 환자나 침범된 림프절을 완전히 제거하지 못한 경우, 또는 흉골과 쇄골상림프절이나 횡격막 위쪽으로 전이된 3기 고환암 환자는 항암화학요법으로 치료합니다. 항암화학요법 후의 잔존 종양은 외과적 절제를 고려해야 합니다.
현재 많이 사용되고 있는 복합화학요법은 BEP요법(블레오마이신, 에토포사이드, 시스플라틴), PVB 요법(시스플라틴, 빈블라스틴, 블레오마이신), VIP 요법(빈블라스틴, 이포스파마이드, 시스플라틴) 등이 있습니다.
고환암의 종양 유형별 병기에 따른 치료방법은 다음과 같습니다.
| 종양유형 | 병 기 | 치 료 |
|---|---|---|
| 정상피종 | 저병기 정상피종 (1기, 2기 초) | 근치적고환적출술 후 예방적으로 복부 방사선 치료를 합니다. |
| 고병기 정상피종 (2기 후반, 3기) | 근치적고환적출술 후 복합화학요법(BEP:블레오마이신, 에토포사이드, 시스플라틴)을 4회 시행한 후에 종양이 감소되거나 변화가 없으면 추적관찰하고, 재발되거나 진행하면 수술이나 복합화학요법 혹은 방사선 요법을 시행합니다. | |
| 비정상피종 | 저병기 비정상피종 (1기, 2기 초) | 근치적 고환절제술 후 임상병기가 1기나 2기 초이면 후복막 림프절 절제술을 시행합니다. 수술 후 조직학적 상태에 따라 관찰하거나 BEP 복합화학요법을 2회 시행합니다. |
| 고병기 비정상피종 (2기 후반, 3기) | 근치적 고환절제술 후 임상병기가 2기 후반이나 3기이면 BEP 복합화학요법을 4회 시행합니다. 항암화학요법 후, 종양지표가 음성이 되고 완전관해를 보이면 관찰하는 것이 일반적입니다. 종양지표는 음성이지만 잔여 종물이 관찰되면 후복막 림프절 절제술을 시행합니다. 수술 후 조직학적으로 약 20%는 잔존암(대부분은 태생암)이 관찰되며 이 경우에는 약제를 바꾸어 항암화학요법을 시행합니다. 40%는 기형종이 관찰되는데 악성 기형암은 항암화학요법에 반응하지 않고 예후가 매우 불량합니다. 항암화학요법 후 종양지표가 지속적으로 양성인 경우나 종물이 증가하는 경우에는 약제를 바꾸어 항암화학요법을 시행합니다. |
후복막림프절절제술로 인해 불임이 초래됩니다. 그러나 후복막림프절절제술로 인한 불임은 신경보존 후복막림프절절제술의 시행으로 피할 수 있습니다.
방사선 치료나 항암화학요법 후에는 돌연변이성 정자가 나타날 위험이 크고 치명적인 비정상이 초래될 수 있으며, 불임이 초래됩니다. 그러므로 방사선 치료 전 정자은행을 이용하여 이후에 이용할 정액을 수집하도록 합니다. 방사선 치료의 장기 합병증으로 소화기장애 및 종격동에 방사선 조사 시에는 골수억제 등의 부작용이 나타날 수 있습니다.
BEP(시스플라틴, 에토포사이드, 블레오마이신) 복합화학요법은 현재 진행성 비정상피종 고환암에서 표준치료로 사용되고 있습니다. BEP 항암화학요법의 부작용으로 불임, 폐독성, 신 독성, 골수억제, 백혈구 · 혈소판 감소증, 오심 · 구토, 빈혈, 위장장애, 탈모, 고음의 청력저하, 손발저림, 구내염 등이 나타날 수 있습니다. 불임은 항암화학요법 후 대부분의 경우에 올 수 있지만, 2년 후에는 약 28~60%에서 회복이 가능합니다.
빈블라스틴을 사용할 경우에는 경련이나 소화관출혈이 부작용으로 나타날 수 있습니다.
융모암을 제외한 대부분의 고환암은 주로 림프절을 통해서 전이됩니다. 림프절 전이는 제 1요추에서 제 4요추부까지를 주로 침윤하며, 고환은 발생학적으로 신장과 기원이 동일하기 때문에 신장 주위의 림프절에 잘 침윤합니다.
고환암은 대개 후복막강의 림프절로 전이된 후 폐나 다른 장기로 전이됩니다. 그러므로 고환절제술로 병리조직학적 진단이 결정되면 후복막림프절의 전이 여부를 확인하는 것이 치료 계획을 세우는데 있어서 필수적입니다.
융모암인 경우는 림프절을 통해 전이되기보다는 혈행을 따라 빠르게 전이되므로 초기에서도 거의 다른 부위로 전이된 상태를 보입니다.
1기 정상피종은 근치적 고환절제술 후 예방적 방사선 조사를 했을 때, 방사선 치료 후의 재발은 3~5%에서 나타나며, 2년 이상 경과한 후의 재발 사례도 있습니다.
1기 비정상피종의 재발은 첫 10개월 이내에 주로 일어나며 최근에는 5년 이상의 만기 재발 사례도 보고되고 있어 엄격한 추적검사가 필요합니다. 재발의 위험도가 높은 경우는 원발병소가 백막을 넘었거나 부고환으로 침윤된 경우, 정삭을 침윤한 경우, 조직 중 혈관이나 림프관의 침윤이 인정된 경우, 태생암 성분의 비율이 높은 경우 등입니다. 재발 시에는 항암화학요법 및 수술적 방법으로 치료합니다.
고환 종양은 정확한 치료에 관련된 결정을 내리는 데 유용한 종양표지자가 있고 매우 효과적인 항암화학요법이 있으며 치료 후 지속된 병변이 있을 경우 외과적 절제로 완치율을 높일 수 있어 완치할 수 있는 종양으로 인식되고 있습니다. 또한 고환 종양은 95%가 종자 세포에서 발생해 성장 속도가 빠르므로 방사선 치료 및 병용 항암화학요법에 반응이 좋고, 종양의 전이 방식이 예측 가능하고 체계적이며, 소아와 청장년층에서 호발하여 적극적인 수술 요법과 방사선 치료 또는 항암화학요법의 병용 치료가 가능합니다.
대체적으로 고환암은 조기 발견이 되고 적절한 치료를 받는다면 우수한 생존율을 보여 비교적 예후가 좋은 암입니다.
2023년에 발표된 중앙암등록본부 자료에 의하면 2017년~2021년의 고환암의 5년 상대생존율은 남자가 95.6% 였습니다
고환암의 5년 상대생존율1)은 다음과 같습니다.
| 1993-1995년 | 1996-2000년 | 2001-2005년 | 2006-2010년 | 2011-2015년 | 2017-2021년 |
|---|---|---|---|---|---|
| 87.40% | 90.40% | 90.70% | 93.20% | 94.90% | 95.60% |
(보건복지부 중앙암등록본부, 2023년 12월 발표 자료)
한편, 미국국립암연구소에서는 SEER(Surveillance Epidemiology and End Results) 프로그램을 통해 "요약병기(Summary Stage)"라는 병기 분류를 개발했습니다. 요약병기는 암이 그 원발 부위로부터 얼마나 퍼져있는지를 범주화2) 한 기본적인 분류 방법으로 그 병기 분류에 따른 5년 상대생존율은 다음과 같습니다.
| 국한(Localized) | 국소(Regional) | 원격(Distant) | 모름(Unknown) |
|---|---|---|---|
| 98.60% | 95.30% | 78.70% | 86.60% |
(보건복지부 중앙암등록본부, 2023년 12월 발표 자료)
15년 상대생존율: 해당 기간 중 발생한 암환자가 5년 이상 생존할 확률을 추정한 것으로, 암 이외의 원인으로 사망했을 경우의 효과를 보정하기 위하여 관찰생존율을 일반 인구의 기대생존율로 나누어 구한 값.
2요약병기에 따르면 암의 범주를 국한(Localized), 국소(Regional), 원격(Distant), 모름(Unknown)으로 나눌 수 있으며 그 내용은 다음과 같음.
* 국한(Localized): 암이 발생한 장기를 벗어나지 않음/ *국소(Regional): 암이 발생한 장기 외 주위 장기, 인접 조직, 또는 림프절을 침범/ *원격(Distant): 암이 발생한 장기에서 멀리 떨어진 다른 부위에 전이/ *모름(Unknown): 병기 정보를 확인할 수 없는 경우