백혈구는 골수구 세포와 림프구 세포로 나뉩니다. 림프계는 몸 전체에 거미줄처럼 퍼져 순환하는 면역조직으로 우리 몸의 필터와 배수의 역할을 담당하고 있습니다. 림프관은 림프의 통로가 되며, 몸의 특정 부위에서 발생한 악성종양이 다른 부위로 옮겨가는 전이의 통로 역할도 하게 됩니다.
만성림프구백혈병은 혈액 속에서 비교적 성숙한 림프구가 현저하게 증가하는 병입니다. 이는 다시 림프구의 종류에 따라 B세포와 T세포로 구분될 수 있지만, 대부분의 경우 B세포의 증식으로 나타납니다.
아직까지 만성림프구백혈병의 명확한 원인은 아직 밝혀지지 않았습니다.
만성림프구백혈병의 원인을 알 수 없기 때문에 특별한 예방법은 없습니다.
현재 특별히 권장되고 있는 조기 검진법은 없습니다.
초기의 환자는 증상이 없고 우연히 혈액검사에서 백혈구 증가를 보여 진단되는 경우가 대부분입니다. 피로, 전신쇠약감, 식욕부진, 운동능력감소 등의 비 특이적 증상이 나타나기도 하는데 이러한 증상들은 병의 진행 정도나 빈혈의 정도와 무관하게 심할 수도 있습니다. 이외에 발열, 폐렴 등의 감염증상이 나타날 수 있습니다.
만성림프구백혈병의 진단을 위해서는 말초혈액검사, 혈액화학검사, 골수검사, 혈청단백전기영동 등이 시행됩니다.
초기 환자의 경우 질병이 진행을 보일 때까지 치료를 시작하지 않고 기다리는 것이 일반적입니다. 다만, 처음부터 골수침습이 관찰(빈혈, 저혈소판증 및 호중구 감소를 동반한 감염이 관찰)되는 경우에는 거의 대부분 초진과 함께 치료가 개시됩니다. 질환과 관련된 증상, 즉 발열, 오한, 발한, 체중감소, 심한 피로감이 있을 때도 치료를 시작하며 림프구 배가시간(두 배가 될 때까지의 시간)이 6개월 이하인 경우에도 치료를 시작합니다.
항암화학요법을 시행하면 빈혈, 호중구감소증, 혈소판감소증, 위장장애, 운동이상, 피부과민증, 무월경증, 감염, 발열, 오심, 구토 및 설사, 오한, 호흡곤란, 기침, 안면 홍조, 혈관 부종, 두통 등의 부작용이 나타날 수 있습니다.
재발하거나 일차 치료에 불응성인 환자들의 치료는 나이, 수행능력, 재발까지의 시간, 이전에 받은 치료에 따라 정하게 됩니다. 일차치료의 반응이 좋게 유지되었던 기간이 3년이 넘는 경우에 일차치료 약제를 동일하게 사용하여도 좋은 반응을 얻을 수 있습니다.
백혈구는 골수구 세포와 림프구 세포로 나뉩니다. 골수구 세포는 호중구, 호염구, 호산구로 나뉘는데, 전체 백혈구의 50~60 %를 차지하고 림프구 세포는 35~45 %를 차지합니다. 림프계는 감염과 싸우는 백혈구 세포를 포함하여 몸 전체에 거미줄처럼 퍼져 순환하는 면역조직으로 우리 몸의 필터와 배수의 역할을 담당하고 있습니다. 림프관은 림프의 통로가 되며, 몸의 특정 부위에서 발생한 악성종양이 다른 부위로 옮겨가는 전이의 통로 역할도 하게 됩니다.
림프관의 도중에는 림프 조직으로 이루어진 림프절이 있으며 림프절에서 림프구가 형성됩니다. 림프구에는 T-세포, B-세포, 자연 살해 세포 등이 있습니다.
항체를 형성하며, 항체는 항원에 결합하여 면역 반응에 관여합니다.
T-세포는 조절기능과 직접적인 세포독성 기능이 있습니다. 조절기능의 T-세포는 협력 T-세포로 B-세포, 자연 살해 세포 등을 자극합니다. 또한 이들 자극을 억제하는 억제 T-세포가 있다고 추정됩니다. 세포 독성 기능은 세포독성 T-세포가 관여하며 세균이 감염된 세포, 암세포, 이식편 조직 및 세포들을 공격합니다.
특정 항원을 인식하지 않으면서도 바이러스에 감염된 세포와 세균, 암세포를 공격합니다.
만성림프구백혈병은 혈액 속에서 비교적 성숙한 림프구가 현저하게 증가하는 병입니다. 이는 다시 림프구의 종류에 따라 B세포와 T세포로 구분될 수 있지만, 대부분의 경우 B세포의 증식으로 나타납니다.
진단을 위해서는 말초혈액검사, 혈액화학검사, 골수검사, 혈청단백전기영동 등이 시행됩니다. 전형적인 B세포 만성림프구백혈병은 순환하는 림프구의 증가소견을 보일 때 진단되며 이상 림프구의 단클론 B세포 증명과 골수 검사상 동일세포들이 골수 내 존재하는 것을 확인함으로써 확진할 수 있습니다. 하지만 진단을 위해 골수 검사가 필수적인 것은 아닙니다.
혈청단백전기영동(혈청 단백 분획법) 혈청단백 분석은 어느 질환에 특이적인 검사법은 아니며 병태를 파악하기 위한 하나의 데이터를 제공하게 됩니다.
말초혈액을 채취하여 백혈구, 혈색소, 혈소판 등의 혈액세포수를 측정하여 혈액의 이상 유무를 확인합니다.
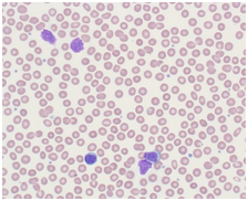
말초혈액을 유리 슬라이드 위에 얇게 펼친 후 염색 및 현미경으로 관찰합니다. 각 혈액세포(백혈구, 적혈구, 혈소판)의 모양과 수의 분포를 파악하여, 백혈병 진단에 사용합니다. 만성림프구백혈병에서는 윤곽이 불분명하거나 바구니 모양의 세포들이 특징적으로 관찰됩니다.

[ 만성림프구백혈병으로 진단된 환자의 말초혈액도말소견 ]
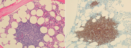
기본 혈액검사에서 악성혈액질환이 의심되면 골수검사를 받을 필요가 있고 대개는 골수 검사로 확진을 합니다. 골수 검사는 도말검사와 조직검사를 모두 시행하여 진단하는데 결과는 2~3일 정도 걸립니다. 그 외에는 골수를 채취하여 면역표현형의 분석, 염색체 검사와 분자유전학적 검사를 아울러 시행하여 진단 및 분류에 활용합니다.

[ 만성림프구백혈병으로 진단된 환자의 골수검사소견, B세포 CD20항원에 대한 염색소견 ]
백혈병 세포 표면에 존재하는 항원의 특성을 분석하고 백혈병아형 분류에 매우 중요한 정보를 제공하며 환자의 예후 판정에 도움을 줍니다. 만성림프구백혈병은 B세포 항원인 CD19, CD20, CD23이 양성이고, 표면 면역글로불린(surface Ig)이 약하게 발현되어 있으며, CD5표면항원이 양성이면서 다른 T세포 항원은 음성인 것이 특징입니다.
미국에서 주로 사용하는 라이(Rai) 병기분류와 유럽에서 주로 사용하는 비넷(Binet) 병기분류가 있습니다. 저위험군은 혈액 내 림프구 수만 증가되고 빈혈이나 혈소판 감소는 없으며 중간 위험군은 목, 겨드랑이, 사타구니 등에 림프절이 커지거나, 왼쪽 윗배에서 비장이 만져질 수도 있습니다. T세포성 백혈병인 경우에는 피부과 중추신경으로 전이하기 쉬운 경향이 있습니다. 고위험군은 혈액검사에서 빈혈이 있거나 혈소판이 떨어지는데 이런 경우에는 병이 빠르게 진행되어 경과가 좋지 않습니다.
[ 만성림프구성백혈병의 병기 ]
| 원발 종양(T) | 임상증상 | 생존기간 중앙값 (년) |
| 라이 분류 | ||
| O: 저위험군 | 말초혈액과 골수에서 림프구 증가 | >10 |
| I : 중위험도 | 림프구증가 + 림프절병증 | 7 |
| II: 중위험도 | 림프구증가 + 비종대 ± 간종대 | |
| III: 고위험도 | 림프구증가 + 빈혈 | 1.5 |
| IV: 고위험도 | 림프절종대 + 혈소판 감소증 | |
| 비넷 분류 | ||
| A | 림프구증가 + 림프절병증 3부위 이하 | >10 |
| B | 림프구증가 + 림프절병증 3부위 이상 | 7 |
| C | B +빈혈 또는 혈소판 감소증 | 2 |
백일해, 감염성 림프구 증가증, 감염성질환에 의한 단핵구증, 결핵, 자가면역질환 등에서도 림프구 증가증을 보일 수 있으나 임상적으로 만성림프구백혈병과는 차이를 보입니다. 여포성 림프종, 외투막 세포 림프종, 림프형질세포성 림프종 등 다른 종류의 B세포 림프종과도 감별이 필요합니다. 이러한 질환들과의 감별을 위해 조직병리학적, 면역표현형적 소견이 중요합니다.
초기 환자의 경우 질병이 진행을 보일 때까지 치료를 시작하지 않고 기다리는 것이 일반적입니다. 순환하는 정상 혈액세포들이 적정량 존재한다면 림프절 종대 혹은 간, 비장 종대가 존재하는 중등도 병기라도 치료를 개시하지 않는 것이 의사들의 일반적인 경향입니다. 다만, 처음부터 골수침습이 관찰(빈혈, 저혈소판증 및 호중구 감소를 동반한 감염이 관찰)되는 경우에는 거의 대부분 초진과 함께 치료가 개시됩니다. 질환과 관련된 증상, 즉 발열, 오한, 발한, 체중감소, 심한 피로감이 있을 때도 치료를 시작하며 림프구 배가시간(두 배가 될때까지의 시간)이 6개월 이하인 경우에도 치료를 시작합니다.
자가 면역학적 합병증이 흔하므로 이에 대한 치료는 항백혈병 치료와 별개로 이루어집니다. 예를 들어 항백혈병 치료를 하지 않더라도, 자가면역성 혈구 감소증을 위한 부신피질호르몬제와 저감마글로불린증을 위한 감마글로불린 투여 등을 시행할 수 있습니다.
전형적인 B세포 만성림프구백혈병의 치료에 전통적으로 사용되던 방법은 클로람부실 혹은 플루다라빈을 단독 혹은 병합요법으로 사용하는 것입니다. 클로람부실은 부작용이 거의 없고 경구로 복용하는 장점이 있으며 플루다라빈은 정맥주사로만 투여가 가능하며 면역억제 현상이 나타나는 단점이 있으나 완전관해율과 종양이 진행되는 시간, 전체생존기간 연장에 있어서 클로람부실에 비해 우월합니다.
최근에는 플루다라빈과 다른 약제들과의 병합요법이 플루다라빈 단독요법에 비해 향상된 성적을 보이고 있는데 특히, 림프구중 B세포의 표면에 존재하는 항원인 CD20과 결합하여 세포의 용해를 일으키는 리툭시맙 (Rituximab)과 플루다라빈, 사이클로포스파마이드 병합요법은 만성림프구백혈병의 일차치료로 전체반응률 90%를 보고함에 따라 현재 표준치료로 인정되고 있습니다.
(1) 자가조혈모세포이식
이식관련 사망률은 낮지만 4년 후 약 40%의 재발을 보이고 지속적인 재발을 보여 안정기(plateau)를 보이지 않고 있습니다. 그러나 불량한 예후를 가진 환자의 경우 장기적인 관해를 얻고 생존율 향상을 보인 보고가 있습니다.
(2)동종조혈모세포이식 동종조혈모세포이식의 경우 환자의 연령이 고령이 많아 대상환자가 적습니다. 동종이식의 대상과 시기에 대해서는 아직 정립된 바가 없지만 유럽의 골수이식지침 (The European Bone Marrow Transplant)에 따르면 p53 단백이상이 있는 경우, 치료에 반응하지 않는 젊은 환자의 경우, 일차 치료 후 2년 이내에 재발한 경우에 고려할 수 있습니다.
클로람부실의 부작용
골수억제 (빈혈, 호중구감소증, 혈소판 감소증), 위장장애, 운동이상, 피부과민증, 무월경증
플루다라빈의 부작용
골수억제, 폐렴을 포함한 감염, 발열, 오심, 구토 및 설사
리툭시맙의 부작용
오한, 발열, 호흡곤란, 기침, 안면 홍조, 혈관 부종, 오심, 구토, 피부발진, 두통 등이 나타날 수 있으나 항체 투여로 인한 부작용은 주입속도를 조절하거나 적절한 예방 조치로 경감시킬 수 있습니다. 저혈압이나 기관지 수축 같은 부작용이 드물게 나타나기도 하며, 기존에 협심증이나 심부전이 동반되어 있는 환자에서는 이들 증상이 악화되는 경우도 있습니다.
재발하거나 일차 치료에 불응성인 환자들의 치료는 나이, 수행능력, 재발까지의 시간, 이전에 받은 치료에 따라 정하게 됩니다. 특히, 이전치료의 종류와 반응여부, 반응 기간은 다음 치료를 결정하는데 있어서 가장 중요한 요소입니다. 일차치료의 반응이 좋게 유지되었던 기간이 3년이 넘는 경우에 일차치료 약제를 동일하게 사용하여도 좋은 반응을 얻을 수 있습니다.
일차치료에서뿐만 아니라 재발한 환자들의 이차치료에서도 인정받고 있는 리툭시맙, 플루다라빈, 시클로포스파미드의 병합요법 등이 사용될 수 있으며, 유지 기간이 2년 이하인 경우면서 나이가 70세 이상에서는 용량을 줄인 병합요법 등이 사용될 수 있고 70세 미만의 비교적 젊은 연령의 환자에서는 용량을 줄이지 않은 병합요법이 사용될 수 있습니다. 이외에도 CD52에 대한 단클론 항체인 알렘투쭈맙(Alemtuzumab)과 항암제의 복합요법도 시도되고 있습니다. 이러한 단클론 항체와 항암제의 복합요법은 치명적인 부작용은 보고되고 있지 않습니다.
치료를 하지 않은 경우의 전체 생존율은 5년이 60~80%, 10년이 20~30%, 20년이 10% 정도이지만 병기에 따라 차이가 있습니다. 병기에 따라서는 저위험도의 경우 15년, 중간위험도의 경우 5~7년, 고위험도의 경우 3~4년 미만의 중앙생존기간을 보고하고 있습니다. 화학요법을 받으면 백혈구 수가 정상화되고 증상도 가벼워지거나 소실되어 관해 상태에 도달하게 됩니다. 하지만 관해에 도달하였다가도 재발하거나 치료 저항성으로 진행하는 경우가 많습니다.

[ 만성림프구백혈병 생존율 표 ]
병기 외에 다른 예후인자로는 골수의 미만성 침윤양상, 고령, 남자, 흑인, 수행능력이 나쁜 경우와 B2-microglobulin, LDH 등이 있습니다.
림프구수 3x109/L이하, 혈색소치 11 g/dL이상, 혈소판 수 10x109/L 이상, 3개 미만의 림프절 영역에서 림프절 병증이 있는 경우, 림프구 수가 2배가 될 때까지의 기간이 12개월 이상 등의 조건에 합당하는 경우 스몰더링 만성림프구백혈병 (smoldering CLL)으로 지칭하는데 이 경우는 연령과 성비를 일치시킨 일반 사람들과 생존율의 차이가 없습니다.
2023년에 발표된 중앙암등록본부 자료에 의하면 2017년~2021년 간의 백혈병(C91-C95)의 5년 상대생존율은 55.4%(남자가 55.2%, 여자가 55.5%)이였습니다.
백혈병의 5년 상대생존율1) 은 다음과 같습니다.
|
백혈병 |
1993-1995년 |
1996-2000년 |
2001-2005년 |
2006-2010년 |
2011-2015년 |
2017-2021년 |
|---|---|---|---|---|---|---|
|
남녀 전체 |
27.5% |
34.3% |
41.9% |
47.7% |
52.0% |
55.4% |
|
남 |
27.3% |
33.3% |
41.8% |
46.9% |
52.3% |
55.2% |
|
여 |
27.9% |
35.5% |
42.1% |
48.7% |
51.7% |
55.5% |
<보건복지부 중앙암등록본부, 2023년 12월 발표 자료>