골수이형성증후군은 백혈병과 마찬가지로 골수에서 발생하며 진행하게 되면 말초혈액으로 퍼져 전신으로 가게 됩니다.
골수의 증식과 구성 세포들의 이형성, 비효율적인 조혈을 특징으로 하는 비정상적인 조혈모세포로부터 유래된 혈액 질환이며, 이러한 특징을 갖는 여러 종류의 질환들을 통칭하는 질환으로 노년층에서 많이 발생합니다. 골수이형성증후군은 명확한 원인 없이 발병한 일차성 골수이형성증후군과 다른 질병에 대한 방사선치료나 항암화학요법 후에 발병하는 이차성 골수이형성증후군으로 나눌 수 있습니다. 또한, 말초혈액과 골수 속의 미성숙한 세포인 아세포(blast)의 비율, 세포들의 이상형성 정도에 따라 여러 단계로 분류할 수 있습니다.
대부분 원인은 정확히 알려지지 않았으나, 벤젠과 같은 용제나 과거의 방사선치료, 클로람부실, 싸이톡산, 멜팔란 등의 알킬화 계열의 항암제 등에 노출된 경우는 위험성이 증가되는 것으로 알려져 있습니다.
현재 특별히 권장되고 있는 조기검진법은 없습니다. 그러나 병이 있을 경우 일반적인 혈액검사(CBC)에 이상소견이 나타납니다.
일반적으로 골수이형성증후군을 확진할 수 있는 특징적인 증상은 없으며, 급성 백혈병이나 재생불량성 빈혈에서도 발생하는 범혈구감소증에 따른 증상들이 나타납니다. 백혈구의 감소로 인한 면역 저하로 잦은 감염과 혈소판 감소로 피부에 멍이 드는 출혈성 경향과 같은 증상도 나타납니다.
진단은 말초혈액과 골수검사 소견을 종합하여 하게 됩니다. 골수검사를 통해 확진하게 되는데 골수내 조혈세포의 밀도, 아세포의 수, 세포의 이형성변화를 관찰할 수 있습니다.
골수이형성증후군은 전반적으로 치료 성과가 만족스럽지 못하나 질환의 위험도와 나이에 따라서 수혈 등의 보존적 치료부터 동종조혈모세포이식의 적극적인 방법까지 적용됩니다. 이외의 치료법에는 호르몬치료, 세포분화요법, 조혈성장촉진인자, 항암화학요법이 있습니다.
수혈 시에는 주로 적혈구를 수혈하기 때문에 수혈의 회수가 많아지면 적혈구 수혈에 포함되어 있는 철분이 신체의 주요 장기에 축적됩니다. 이 경우 간경변이나 심부전이 일어나고, 피부에 침착되어 피부가 검게 되기도 합니다. 동종조혈모세포이식 후 부작용으로는 이식편대숙주병(Graft Versus Host Disease, GVHD)이 나타날 수 있습니다.
가장 강력한 치료인 동종조혈모세포이식까지 시행했더라도 예후인자에 따라 차이가 있으나 대개 20%(10~30%)에서 재발이 일어납니다.
골수이형성증후군은 백혈병과 마찬가지로 골수에서 발생하며 진행하게 되면 말초혈액으로 퍼져 전신으로 가게 됩니다.
골수는 머리뼈, 가슴뼈, 갈비뼈, 허리뼈, 골반뼈 등의 중심 부분에 있는 해면체로써 혈액세포가 생산되고 성숙하는 장소입니다.
골수에서 만들어진 혈액세포는 혈액으로 방출됩니다.
혈액은 혈액세포와 혈장으로 구성되는데 혈액세포에는 적혈구, 백혈구, 그리고 혈소판이 있습니다. 적혈구는 우리 몸에서 필요로 하는 산소를 운반하는 기능을 하며, 백혈구는 외부에서 침입한 바이러스나 세균에 대항하여 싸우는 기능을 합니다. 혈소판은 출혈시 혈액이 응고 되도록 합니다. 이러한 적혈구, 백혈구, 그리고 혈소판은 모두 골수에서 만들어집니다.
골수의 증식과 구성 세포들의 이형성, 비효율적인 조혈을 특징으로 하는 비정상적인 조혈모세포로부터 유래된 혈액 질환이며, 이러한 특징을 갖는 여러 종류의 질환들을 통칭하는 질환으로 노년층에서 많이 발생합니다.
과거에는 전백혈병, 아급성 백혈병 등 다양한 이름으로 불리다가 1976년 급성 백혈병과는 다른 병으로 분류되기 시작했습니다.
초기에는 범혈구감소증(pancytopenia)이 나타났다가 후에 급성 골수성백혈병으로 전환되기도 합니다.
일반적으로 골수이형성증후군을 확진할 수 있는 특징적인 증상은 없으며, 급성 백혈병이나 재생불량성 빈혈에서도 발생하는 범혈구감소증에 따른 증상들이 나타납니다.
즉 적혈구 감소로 인해 빈혈이 나타날 수 있는데 빈혈이 심하면 쉽게 피로감과 전신 쇠약감을 느끼고, 운동시에는 호흡곤란 등의 증상이 나타날 수 있습니다.
백혈구의 감소로 인한 면역 저하로 잦은 감염과 혈소판 감소로 피부에 멍이 드는 출혈성 경향과 같은 증상도 나타납니다.
그 밖에 비장이 커져 있는 경우도 20% 정도 됩니다.
진단은 말초혈액과 골수검사 소견을 종합하여 하게 됩니다.
말초혈액검사를 통해 빈혈이나 백혈구 감소, 혈소판 감소 등 혈구감소증을 알 수 있고, 모세포 혹은 비정상적인 형태의 세포를 관찰할 수 있습니다.
골수검사를 통하여 확진을 하게 되는데 골수내 조혈세포의 밀도, 모세포의 수, 세포의 이형성변화를 관찰할 수 있습니다.
약 50% 이상에서 염색체의 이상을 보이는데, 5, 7, 20번 염색체의 소실이나 8번 세염색체(정상 염색체보다 한 개가 더 많은 경우)소견 등을 보이게 됩니다.

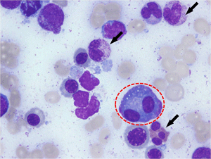
[ 골수이형성증후군으로 진단된 환자의 골수검사 소견]
핵이 두 개로 갈라진 거대 이형성 적혈구가 우측 하단에 보이고, 핵 모양이 비정상적인 백혈구들이 여러 개 관찰됩니다 (화살표).
같은 골수이형성증후군이라도 다른 진행단계를 보입니다. 예후가 좋은 5번 염색체 소실이나, 불응성철아구성(철적혈모구성) 빈혈형은 질병 진행에 몇 년이 걸리지만 단일 7번염색체 형과 같은 경우 질병이 몇 달 만에 진행할 정도로 빠릅니다. 환자분들은 대개 빈혈 및 혈소판 감소 등으로 장기간 수혈을 받다가 질병이 진행하면서 백혈병으로 진행하기도 하고, 점차로 몸이 쇠약해지면서 감염이 생겨 사망에 이르는 경우가 많습니다.
골수이형성증후군은 백혈병과 마찬가지로 고형암에서 사용되는 병기를 적용할 수 없습니다. 그 이유는 진단 시에 이상세포들이 혈액을 따라 전신에 퍼져 나타나기 때문입니다. 따라서 골수이형성증후군의 경우 병기 대신 국제 예후 점수 시스템에 따라 위험군으로 분류합니다.
국제 예후 점수 시스템은 골수의 모세포의 정도, 염색체 이상의 종류, 세포감소 정도 등의 예후인자에 따라 점수 범위가 다르며, 점수의 합계로 위험군을 4개로 나누고 있습니다.
| 점 수 | |||||
|---|---|---|---|---|---|
| 예후점수 | 0 | 0.5 | 1.0 | 1.5 | 2.0 |
| 골수의 아세포 비율 | < 5 | 5 - 10 | 11 - 20 | 21 - 30 | |
| 염색체 이상 | * 좋음 | 중간 | 나쁨 | ||
| **혈구감소를 보이는 세포의 종류 | 0/1 | 2/3 | |||
| 예후점수 | 예후 소그룹(위험도) | 중앙 생존 기간(년) | |||
| 0 | 낮음 | 5.7 | |||
| 0.5 - 1 | 중간 - 1 | 3.5 | |||
| 1.5 - 2 | 중간 - 2 | 1.2 | |||
| > 2.5 | 높음 | 0.4 | |||
* 좋음 : 정상염색체, Y염색체의 소실, 5번 염색체의 소실, 20번 염색체의 소실
중간 : 나머지 염색체의 이상
나쁨 : 3개 이상의 염색체 이상이 동시에 나타나는 경우 또는 7번 염색체의 이상
** 혈구감소의 정의: 혈색소 10g/dL 미만, 혈소판 100,000/uL 미만, 절대호중구 1500/uL 미만
골수이형성증후군은 전반적으로 치료 성과가 만족스럽지 못하나 질환의 위험도와 나이에 따라서 수혈 등의 보존적 치료부터 동종조혈모세포이식의 적극적인 방법까지 적용됩니다.
보존적 치료로는 수혈과 항생제치료가 있습니다. 수혈은 빈혈이 심한 경우 적혈구 수혈을 해야하고, 혈소판 감소증이 심할 경우 혈소판 수혈을 해야 하며, 감염 증상이 나타날 경우 항생제치료를 합니다.
아자싸이티딘(azacitidine)과 데시타빈(decitabine)이라는 약제가 있으며 세포독성이 있고 DNA 메틸화를 억제함으로 치료효과를 가져오며, 두 약제 모두 지지요법과 비교하는 임상시험에서 17~23%의 반응율을 보였으며. 백혈병으로 진행할 때까지의 기간과 생존기간이 지지요법에 비해 유의하게 증가됨이 보고되어 현재 사용되고 있습니다.
조혈성장촉진인자를 투여함으로써 미성숙 세포들의 정상적 분화 및 성숙을 유도하는 치료방법으로 저위험군에서 일부 효과가 관찰되고 있으나 백혈병으로의 진전을 지연시키는 효과는 없는 것으로 알려져 있습니다.
기존의 고식적인 항암화학요법은 골수 중의 암세포를 죽일 목적으로 사용되지만 골수이형성증후군 환자가 대부분 고령이고 조혈기능 회복이 지연되는 등의 합병증이 생길 수 있고 사망률도 높은 편입니다. 약 10~60%에서는 일시적인 관해가 유도되나 관해 지속기간이 짧고 재발률이 높다는 제한점이 있으나 55세 이하의 연령층, 상대적으로 예후가 좋은 염색체 이상이 동반된 경우에서 임상적 효과를 기대할 수 있습니다.
재생불량성빈혈과 유사하게 골수이형성증후군 환자에서 발견되는 골수기능부전은 면역T세포에 의한 면역 불균형에 기인한다고 알려져 항 림프구글로불린(ATG)과 사이클로스포린을 이용한 면역억제치료가 일부 환자에 국한되어 사용될 수 있으며 이에 대하여 효과를 볼 수 있는 환자군은 골수충실도가 30% 미만으로 감소된 경우, 저 위험군, 발작성 야간 혈색소뇨증(PNH) 클론이 검출되는 경우 등에 해당합니다.
동종조혈모세포이식은 완치를 기대할 수 있는 유일한 방법입니다. 그러나 전처치로 시행되는 고용량 항암제의 부작용으로 인해 현실적으로 골수이형성증후군으로 진단되는 환자의 약 5-10%에서만 적용할 수 있습니다. 젊고 다른 동반 질환이 없는 환자에게는 이 치료법을 이용한 이식 성공률이 약 40%이지만 이식 관련 사망률이 높아 고령에서는 적용하기 어렵습니다. 하지만 최근 미니 이식의 확대로 높은 연령층의 환자에게도 적용이 가능해졌습니다.
이렇게 고령의 환자에게는 미니 이식을 고려할 수 있겠으나 진행된 질환인 경우는 재발률이 높아서 장기 생존율이 낮게 보고되고 있습니다. 질환의 예후 위험도가 낮은 경우에 역시 이식 성적이 좋으며, 주로 젊은 연령층에 선택된 경우에 한하지만 타인간 이식도 시행되고 있습니다. 이식의 시기는 위험도가 낮은 경우는 조기에 이식을 시행하지 않으나 예후 위험도가 높은 경우는 진단 후 바로 이식을 시행하는 것이 생존율 향상에 도움이 될 수 있습니다.
미니 이식이란 이식 전 항암요법의 강도는 줄이면서 공여자의 골수가 환자의 골수와 서로 공존하면서 살 수 있을 정도로만 환자의 면역기능을 억제 한 후 적절한 시기에 공여자의 림프구를 주입하여 완전히 공여자의 조혈모세포가 자리 잡도록 하는 방법입니다.

[이식전 환자의 골수의 아세포율에 따른 골수 이식 후 무병 생존율]
그림. 이식전 환자의 골수의 아세포율에 따른 골수 이식 후 무병 생존율을 비교한 것으로 이식전 골수의 아세포율이 낮은 환자가 좋은 이식 성적을 보이고 있습니다.
그 밖의 치료로는 탈리도마이드, 레날리도마이드가 있으며 레날리도마이드는 탈리도마이드에 비해 독성이 적으면서 특히 5번염색체 소실된 골수이형성증후군 환자에서 빈혈을 호전시키는 효과 및 염색체 이상을 교정하는 효과가 있습니다. 또한 비소, 아미포스틴과 같은 제제 등이 도움이 될 수 있으나 반응율은 약 30%에 머물고 있습니다.
동종조혈모세포이식 후 부작용으로는 면역반응의 일종인 이식편대숙주병(Graft Versus Host Disease, GVHD)이 나타날 수 있습니다. 급성 이식편대숙주병은 이식 후 1~3개월 이내에 발병하며 기증자의 골수 내 면역세포가 환자의 세포를 공격하여 피부, 간, 위장관 등 여러 조직 혹은 장기에 영향을 줍니다. 따라서 나타나는 증상은 피부발진·홍반·가려움증·황달 및 간수치 이상, 메스꺼움·구토·복통 또는 설사 등이 대표적입니다. 이 병을 예방하기 위해서는 적절한 면역억제제를 투여해야 합니다.
조혈성장촉진인자는 투여하는 양에 따라 다르지만 발열, 골통(뼈의 통증), 권태감 등의 부작용을 가져올 수 있습니다. 대개는 저절로 호전되지만 심한 경우는 간단한 해열 진통제의 투여로 조절이 가능합니다.
수혈시 에는 주로 적혈구를 수혈하기 때문에 수혈의 회수가 많아지면 적혈구 수혈에 포함되어 있는 철분이 신체의 주요 장기에 축적됩니다. 이 경우, 간경변이나 심부전이 일어나고, 피부에 침착되어 피부가 검게 되기도 합니다.
또 백혈구의 일종인 림프구가 살아 있는 채로 환자(특히 면역기능이 저하되어 있는 환자)에게 수혈되면, 이식편대숙주병이 유발될 수 있으므로 수혈 시에는 백혈구제거 필터로 여과하여 림프구를 제거하여 사용합니다.
항암화학요법은 골수 속의 암세포를 죽일 목적으로 사용됩니다. 그러나 이 요법은 온 몸을 돌아다니는 전신적인 치료이기 때문에 백혈구 감소증, 혈소판 감소증, 탈모, 오심과 구토 등의 부작용을 일으킵니다.
탈모는 치료하는 동안 가발이나 모자, 스카프 등을 사용하여 손상된 모발을 가릴 수 있으며, 이 부작용은 일시적인 것으로, 머리카락은 항암화학요법이 끝나면 대개 1~2개월 후부터 다시 자라 정상으로 회복이 됩니다.
오심과 구토는 대부분 억제가 가능하고, 최소한 그 증상을 경감시킬 수 있으므로 오심증상이 나타나면 의료진에게 즉시 상의하는 것이 좋습니다.
가장 강력한 치료인 동종조혈모세포이식까지 시행했더라도 예후인자에 따라 차이가 있으나 대개 20%(10~30%)에서 재발이 일어납니다. 재발시 처음 치료와 마찬가지로 환자가 고령이고 전신상태가 불량한 경우는 보존적 치료로 전환하는 것이 하나의 방법입니다. 전신상태가 나쁘지 않는 경우는 항암화학요법과 동시에 조혈모세포이식, 공여자 림프구 주입과 같은 적극적인 치료를 선택할 수 있습니다. 그러나 질병을 앓은 기간이 길수록 이식의 성적은 좋지 못하므로 재발된 상태에서의 이식은 훨씬 더 성적이 나쁘고 예후도 불량할 것이라는 것을 염두에 두어야 합니다.
골수이형성증후군 환자 중 일부는 급성 백혈병으로 진전되거나 백혈구 감소증으로 인한 면역기능부전으로 사망하기도 합니다. 현재 완치를 기대할 수 있는 유일한 방법인 동종 조혈모세포이식의 경우도 젊고 다른 질환이 없는 환자일 때 이식 성공률이 약 40%이지만 이식과 관련된 사망률은 높은 상태입니다. 국제 예후 점수 시스템에 따르면 위험군별로 위험도가 낮은 그룹은 5.7년, 중간-1 그룹은 3.5년, 중간-2 그룹은 1.2년, 높은 그룹은 0.4년 정도의 중앙생존기간을 보이는 것으로 알려져 있습니다. 전반적인 치료 성적은 현재 만족스런 상태가 아니지만 많은 연구들이 진행 중에 있습니다.