혀는 미각과 연하 및 발음을 담당하는 고도로 특화된 기관입니다. 혀의 일부는 구강에 속하고 일부는 인두에 속하게 됩니다. 아래턱과 인두, 연구개, 경상돌기, 설골 등에 부착되어 있는 혀는 편평상피 하방에 점막선과 장액선으로 구성되어 있습니다.
설암은 혀에 생기는 악성종양으로 전체 두경부암의 약 10~15%를 차지하며 혀의 해부학적 특성에 의한 조직침투의 용이성과 조기 림프전이에 의해 불량한 예후를 보이는 질환입니다. 설암의 95% 이상은 편평세포암입니다. 드물게 우상암(verrucous carcinoma)이나 소타액선 기원의 종양이 발생하기도 합니다.
설암의 위험인자로는 흡연이 절대적이며 이외에 음주, 바이러스, 방사선이나 자외선, 식습관과 영양결핍, 유전적 감수성 등이 거론되고 있습니다.
설암을 포함한 구강암을 예방하기 위해서는 항상 구강을 청결히 하고 자극적인 음식과 흡연 및 과음을 피하는 것이 좋습니다. 또한 날카로운 치아나 잘 맞지 않는 틀니 등이 구강 점막을 자극하지 않도록 주의하고 이에 대한 주기적인 검진과 개선도 필요합니다. 특히 장년 이후에는 1년에 한번씩 정기 구강검사를 받아 암을 조기 발견할 수 있도록 합니다.
현재까지 대부분의 나라에서 표준화된 설암 검진은 아니더라도 흡연이나 술을 많이 하는 40세 이상의 성인은 1년에 한 번씩 정기적인 구강검진을 하도록 권고하고 있습니다.
대부분의 환자는 혀가 부은 듯한 느낌이 있거나 음식물 섭취 시 불편감을 호소하는 경우가 많습니다. 병소는 대부분 혀의 측면이나 밑부분에 발생하며 배면이나 중앙부에는 잘 발생하지 않는데 특히 측면 중앙부나 후방 1/3에 발생하며 혀끝 쪽 발생은 드문 것으로 알려져 있습니다.
가장 기본적이며 일반적으로 시행되는 설암 검사법은 특별한 처치없이 검사자의 육안 및 촉감에 의한 시진과 촉진입니다. 그 외 설암 진단을 위해 일반방사선검사, 초음파검사, 전산화단층촬영법(CT), 자기공명영상법(MRI), 핵의학검사법, 상부소화관내시경 등의 영상진단법과 병리 조직학적 검사를 시행합니다.
설암의 치료에는 외과적 수술법과 방사선 치료법을 주로 사용하며 항암약물요법도 상황에 따라 선택할 수 있습니다. 수술 선택시 고려할 사항으로는 부작용, 비용, 편이성, 순응도, 장기결과, 위치, 병기, 조직학적 소견 및 림프절 전이 여부 등이 있습니다.
수술 후 의사소통과 음식물을 삼키는데 어려움을 겪을 수 있으며 혀를 재건하는데 사용하는 피판을 가져오는 부위에 반흔(흉터)이 남을 수 있고 간혹 목과 어깨에 불편한 느낌을 가질 수 있습니다. 항암화학요법의 흔한 부작용으로는 구역질, 구토, 식욕감소, 탈모, 설사, 구강 상처 등이 있으며 방사선 치료를 받은 환자에게는 치아 우식증이 발생하기 쉬우므로 구강위생 상태를 최상으로 유지하도록 해야 합니다.
혀에는 림프관이 풍부하며 움직임이 많기 때문에 림프절 전이가 쉽게 일어납니다.
혀는 미각과 연하 및 발음을 담당하는 고도로 특화된 기관입니다. 혀의 일부는 구강에 속하고 일부는 인두에 속하게 됩니다. 혀는 아래턱과 인두, 연구개, 경상돌기, 설골 등에 부착되어 있습니다. 해부학적으로는 설근부(root), 설배부 및 설첨부로 구분하기도 합니다.
혀는 편평상피 하방에 점막선과 장액선으로 구성되어 있습니다. 주 혈액 공급원은 양쪽의 설동맥이며 섬유성지방판막이 혀의 정중앙에 위치하고 있습니다. 한 쪽의 설동맥을 결찰하는 경우에는 혀의 괴사를 염려하지 않아도 되지만 양측 모두를 희생시킨 경우에는 혀가 괴사 될 수도 있습니다.
설골과 하악에 부착되는 부분으로 하방으로는 이설골근, 하악설골근과 만나게 됩니다.
혀의 볼록한 면을 말하며 통상적으로 혀를 내밀었을 때 눈에 보이는 부분입니다. 혀를 들었을 때 구강저와 연결되어 보이는 부분은 복면(ventral surface)이라 합니다. 배부는 전반부와 후반부로 나뉘며 종말구(sulcus terminalis)라 불리는 V자 모양의 고랑으로 구분되는데 맹공(foramen cecum)에서 구개설궁(palatoglossal arch)까지 이어집니다. 종말구는 혀의 앞쪽 2/3(구강설)와 뒤쪽 1/3(인두설)의 경계입니다. 이 두 부분은 구조, 점막, 신경분포와 발생과정이 상이합니다.
구강설의 첨부(혀의 끝부분)와 배부(혀의 등부분)는 절치(앞니)에서 경구개와 연구개까지 위치하고 있으며 감각은 제 5번 신경에 의해 지배되며 미각은 고실삭 신경에 의해 지배됩니다. 구강설의 양측면에는 엽상유두(folliate papilla)라고 불리우는 수직 주름이 있는데 이는 위축된 미뢰입니다.
혀에는 혀의 피부각질층이 돌출된 설유두(papilla of the tongue)라는 구조가 있습니다. 이는 혀의 전방 2/3에 국한되어 존재합니다.
설유두의 종류에는 성곽유두, 심상유두, 사상유두, 단순유두의 4가지가 있습니다.
8개에서 12개가 존재합니다. 열을 지어서 V자 모양으로 배열하며 종말구나 맹공보다 앞쪽에 위치합니다. 성곽유두와 맹공, 뒷부분의 설편도 등의 모양이 특이하여 병소로 오인하는 경우가 있습니다. 각 성곽유두는 1-2mm의 지름을 가지고 있습니다.
설배부, 설측부(혀의 옆부분) 및 설첨부에 분포하며 사상유두에 비해 크고 둥글며 짙은 붉은색을 띠고 있습니다. 각 심상유두는 상피하에 이차유두를 가지고 있습니다.
작은 원추형 혹은 원통형이며 설첨부를 제외하고 성곽유두와 평행하게 배열되어 있습니다.
혀와 크기가 큰 유두의 모든 점막에 분포하고 있습니다.

[혀의 부위]
혀의 근육은 내재근과 외재근으로 구분합니다. 구개설근을 제외하고 모든 근육은 설하신경에 의해 지배받고 있습니다.
혀의 점막에 분포하는 감각신경은 대부분 설신경과 설인신경으로부터 제공됩니다. 설신경은 혀의 앞쪽 2/3를 담당하고 설인신경은 성곽유두를 포함한 혀의 뒤쪽 1/3을 담당하게 됩니다. 두 신경은 통증, 온도, 압력 등의 일반감각과 미각을 담당하는 신경을 포함하고 있습니다. 설신경의 일반감각신경섬유는 삼차신경절로부터 기원하게 됩니다.

[혀의 근육과 신경 지배]
설암은 혀에 생기는 악성종양으로 전체 두경부암의 약 10~15%를 차지하며, 혀의 해부학적 특성에 의한 조직침투의 용이성과 조기 림프전이에 의해 불량한 예후를 보이는 질환입니다.
설암이 33.1%로 구강암 중 가장 많은 발생 빈도를 나타내고 있습니다. 남성에서 호발하고 50-60대에 많이 발생하는 것으로 알려져 있고 50% 정도가 혀의 중간 1/3 부위의 측면에 발생한다고 보고되고 있습니다.
대부분의 환자들은 혀가 부은 듯한 느낌이 있거나 음식물 섭취시 불편감을 호소하는 경우가 많습니다. 임상검사시는 시진과 촉진이 가장 좋은 방법입니다. 혀를 움직여 보게 하여 혀의 운동성을 관찰하고 궤양이 있는지, 증상이 악화되고 있는지, 외이도에 통증이 있지는 않은지, 발음이나 연하시 불편감이 있는지, 구취가 심하지는 않은지 또는 간헐적인 출혈이 있는지 살펴보게 됩니다.
병소는 대부분 혀의 측면이나 밑부분에 발생하며 배면이나 중앙부에는 잘 발생하지 않는데 특히 측면 중앙부나 후방 1/3에 발생하며 혀끝 쪽 발생은 드문 것으로 알려져 있습니다.
암종은 점차적으로 성장하면서 궤양을 형성하고 혀의 움직임이 자유스럽지 못하게 되면서 음식물을 섭취하는데 어려움을 겪게 됩니다.

[ 혀에 발생한 백반증 ]

[ 좌측 설암 병변 ]
구강암연구소에서 발행한 구강암 진료 지침서에 따르면 다음과 같은 경우에 구강암을 의심해보는 것이 필요하다고 합니다.
설암의 경우에도 3주이상 호전되지 않는 궤양, 3주이상 지속되는 혀의 부종, 혀점막에 발생한 적백색의 반점, 지속되는 연하곤란, 목소리 변화, 혀 및 주변조직과 관련된 신경의 이상 증상 등이 있는 경우 정확한 진단을 받는 것이 좋습니다.
가장 기본적이며 일반적으로 시행되고 있는 설암 검사법입니다. 구강 및 혀의 이상부위를 특별한 처치 없이 육안으로 보는 방법입니다. 혀는 비교적 다른 장기에 비하여 육안 판별이 가능한 부위로 조기 발견이 가능할 수 있는 부위입니다. 그러나 초기증례의 양상이 양성종양과 유사한 경우도 종종 있고 같은 조직 병소라 하더라도 부위나 단계별 임상증상이 다르기 때문에 정확한 임상진단을 내리는 것이 쉬운 일만은 아닙니다.
내시경 검사도 시진 중의 하나로 검사 도중 의심이 가는 부위는 즉시 생검을 시행할 수 있습니다.
통상 시진과 동시에 행해지는 검사법으로 특별한 처치없이 검사자의 촉감에 의한 검사 방법입니다.
병소를 직접 만져보아 그 경도 및 범위, 주변조직과의 관계 등을 검사하게 됩니다. 경부 림프절의 경우도 영상검사 전 임상적 촉진으로 림프절 전이 유무를 검사합니다.
악골변화를 관찰하기 위하여 시행합니다. 간단하면서도 선명하며 세부관찰이 가능합니다. 진행된 설암의 경우 악골로의 침범도 가능하기 때문에 병소의 침범 여부를 관찰하고 향후 수술, 방사선, 항암약물 치료 전 구강상태 등에 대한 평가를 위해서 기본적으로 시행합니다. 필요한 경우 치근단촬영(periapical view)을 시행하게 됩니다.
설암의 폐전이에 대한 평가 및 환자의 기본 건강 상태를 평가하기 위하여 시행합니다. 원격전이의 호발 부위인 폐에 대한 평가를 실시하여 병기 및 예후를 예측하고 치료 방향을 설정하는데 기본적 검사입니다. 편평세포암의 경우 원격전이는 폐(83%)가 가장 많고 골격계(31%), 간(6%)의 순서로 호발하는 것으로 알려져 있습니다.
짧은 초음파를 생체내에 발사하여 그 반사파를 포착, 영상화하는 기법입니다. 설암 환자의 경부 림프절 전이에 대한 평가를 위하여 시행한다.
복부 장기로의 전이 여부 및 환자의 전신 건강에 대한 평가를 위하여 시행합니다. 원격전이가 종종 발견되는 간의 평가 및 기본 건강상태를 평가하여 치료의 방향을 결정하는데 기본적 검사입니다.
악골 및 연조직의 진단에 사용합니다. 악성 여부에 대한 영상학적 진단, 침범 범위 및 전이여부 등을 알아보기 위한 검사입니다. 임상적 병기 진단에 자기공명영상(MRI)와 더불어 주로 사용되며 수술 가능여부 및 수술 범위 결정 등에 기본적으로 필요한 검사입니다. 초음파 검사와 함께 생검시 종양으로의 정확한 접근을 위하여 사용되기도 합니다. 혈관과 림프선의 구분, 종양의 경계부 확인 등을 위하여 조영제를 사용합니다.
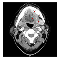
![[좌측 설암 전산화단층촬영 이미지]](../res/images/cancer/21_2_3.jpg)
[좌측 설암 전산화단층촬영 이미지]
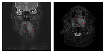
전산화단층촬영(CT)과 더불어 임상적 병기 결정을 위한 정보를 얻는데 사용합니다. 연조직에 발생한 암종의 경우 자기공명영상이 더 선호되고 있어 설암 환자의 경우 자기공명영상이 필수적이라 할 수 있습니다. 촬영 전 구강 내 보철물은 제거하고 촬영하는 것이 상의 왜곡을 막기 위해 필요합니다.

[ 좌측 설암의 자기공명영상 촬영 이미지 ]
99mTC를 붙인 인화물을 이용하여 골로 전이된 종양을 찾아내는 방법으로 악성종양의 골전이는 물론 양성 골질환 검사에도 사용합니다. 설암 환자에서도 종양의 골 조기 침윤 가능성에 대한 수술 전 평가 및 원격 골전이 유무에 대한 평가를 위하여 시행하고 있습니다.
양전자방출단층촬영(PET)는 각 장기의 생화학적, 생리적 반응을 정량화하여 진단, 치료방침설정 등에 활용하는 영상기법으로 양전자의 방출 후 나타나는 광자를 검출기를 통해 검출하는 것을 기본원리로 합니다. 구강점막 등에 발생한 악성흑색종에 대한 병기 결정에도 도움이 되는 것으로 알려져 있습니다.

[ 좌측, 우측 설암의 양전자방출단층 촬영 이미지 ]
통상 구강암을 가진 환자를 평가할 때는 유사한 병소가 다른 부위에 있을 가능성에 대한 검사를 위하여 상부소화관 내시경을 시행하고 필요시 광범위한 부위를 내시경으로 검사(panendoscopy)하게 됩니다.
병소는 조직의 현미경학적 검사에 의하여 확진됩니다.
경부림프절을 가진 환자의 경우는 영상 진단과 더불어 세침흡인세포조직검사를 통하여 조직학적 진단을 시행할 수 있습니다.
암종의 진행 정도, 크기, 주변 장기로의 전이 여부, 예후의 예측 및 합리적인 치료 방침을 결정하기 위해 병기를 분류하는 것이 중요합니다.
구강암의 병기 분류는 AJCC(American Joint Committee on Cancer) Cancer Staging Manual, Eighth Edition(2018)의 분류에 따르고 있습니다. T는 원발종양의 확산, N은 림프절의 상태, M은 원격전이의 유무를 나타냅니다.
| [병기분류] | |
|---|---|
| T(Tumor)병기 | 원발종양의 크기 및 침범 깊이 |
| TX | 원발종양을 평가할 수 없음 |
| Tis | 상피내암종 Carcinoma in situ |
| T1 | 종양의 크기가 2cm이하이고, 침범 깊이가 5mm 이하 |
| T2 | 종양의 크기가 2cm 이하이고, 침범 깊이가 5mm 초과 또는 종양이 2cm초과 4cm이하이고, 침범 깊이가 10mm이하 |
| T3 | 종양의 크기가 2cm 초과 4cm 이하이면서 침범 깊이가 10mm를 초과하거나 또는 종양이 4cm를 초과하면서 침범 깊이가 10mm 이하인 경우 |
| T4a | 중등도로 진행된 국소 질환 종양이 4cm를 초과하면서 침범 깊이가 10mm를 초과하거나 또는 종양이 인접조직을 침범한 경우(예; 하악 또는 상악의 피질골(뼈), 얼굴의 상악동 또는 피부를 포함) |
| T4b | 매우 진행된 국소 질환- 종양이 저작간극, 익상판(pterygoid plates), 혹은 두개저를 침범하고/하거나 내경동맥(internal carotid artery)을 감싸고 있는 경우 |

[설암의 T(Tumor)병기]
| N(Node)병기 | 림프절 (머리와 목 모든 부위에서 동일함) |
|---|---|
| NX | 국소 림프절 전이를 평가할 수 없음 |
| N0 | 국소 림프절 전이가 없음 |
| N1 | 최대 크기가 3cm이하의 한쪽 림프절의 전이가 있고 림프절외 확장(-) |
| N2a | 최대 크기가 3cm이하의 한쪽 림프절의 전이가 있고 림프절외 확장(+) 또는 최대 크기가 3cm 초과 6cm이하의 한쪽 림프절의 전이가 있고 림프절 확장(-) |
| N2b | 최대 크기가 6cm 이하이며 다중 동측의 림프절 전이가 있고 림프절외 확장(-) |
| N2c | 최대 크기가 6cm 이하이며 양측 또는 반대측의 림프절 전이가 있고 림프절외 확장(-) |
| N3a | 최대 크기가 6cm 초과하는 림프절 전이와 림프절외 확장(-) |
| N3b | 최대 크기가 3cm초과의 한쪽 림프절의 전이가 있고 림프절외 확장(+) 또는 다중 동측, 반대측, 양측 림프절 전이가 있으면서 림프절외 확장(+) |
![[설암의 N(Node)병기]](../res/images/cancer/21_2_7.jpg)
[설암의 N(Node)병기]
| M(Metastasis)병기 | 원격전이 |
|---|---|
| M0 | 원격전이가 없음 |
| M1 | 원격전이가 있음 |
| 병기 | 종양의 크기와 침범 깊이(T) | 림프절 전이(N) | 원격전이(M) |
|---|---|---|---|
| 1기 | T1 | N0 | M0 |
| 2기 | T2 | N0 | M0 |
| 3기 | T3 | N0 | M0 |
| T1,T2,T3 | N1 | M0 | |
| 4기A | T4a | N0, N1 | M0 |
| T1, T2, T3, T4a | N2 | M0 | |
| 4기B | Any T | N3 | M0 |
| T4b | Any N | M0 | |
| 4기C | Any T | Any N | M1 |
미란성 백반증, 결핵성 병소, 매독성 병소 및 외상성 궤양들과 감별 진단해야 하며 국소마취하의 절개 생검이 가장 유용한 진단방법입니다.
설암의 주요 치료 방법은 수술과 방사선 치료이며 많은 경우 경부 림프절 전이가 관찰되므로 경부 전이에 대한 진단이 필수적입니다.
설암치료의 궁극적인 목적은 최소한의 치료 과정을 통하여 형태 및 기능을 보존하면서 암종을 치료하고 재발 또는 다른 암종의 발현을 막는 것에 있다 하겠습니다. 설암의 치료 선택에 영향을 미치는 요소는 환자요소, 종양요소, 치료 담당 의사요소 등이 있을 수 있습니다.종양요소에는 병소의 위치, 크기, 주변 조직과의 근접정도, 경부림프절의 전이 여부, 병소의 조직병리학적 소견 및 기존에 시행된 치료 등이 있습니다.
혀에 발생한 종양은 같은 병기의 경구개에 발생한 종양보다 림프절 전이를 할 확률이 다소 높은 것으로 알려져 있습니다. 구강내 발생한 편평세포암의 절반 정도는 혀에서 발생하는 것으로 알려져 있으며 처음 내원시 경부 림프절로의 전이가 있는 경우가 30-50% 정도가 된다고 알려져 있습니다.
원발부의 크기가 클수록 림프절 전이의 확률이 높아지게 됩니다.
치료에 영향을 미치는 환자요소로는 환자의 나이, 전신상태, 내성, 치료방법에 대한 적응 및 순응도, 생활습관 등이 있습니다.
설암의 치료에는 외과적 수술법과 방사선 치료법이 주로 사용되며 항암약물 요법도 상황에 따라 선택 될 수 있습니다. 작고 표면에 국한된 종양의 경우는 수술치료와 방사선 치료가 각각 사용이 가능합니다. 따라서 T1 과 T2 병기인 경우는 여러 가지 고려 사항을 검토한 후 수술 또는 방사선 치료 중에서 선택하여 사용하고 있습니다. 선택시 고려할 사항으로는 부작용, 비용, 편이성, 순응도, 장기결과, 위치, 병기, 조직학적 소견 및 림프절 전이 여부 등이 있습니다.
수술적 치료 시 조기 병소의 경우는 구강내로 접근하여 외과적 안전변연을 유지하면서 절제 한 후 봉합을 합니다. 작은 크기의 결손부는 피판을 이용하여 재건하면 그 부피 때문에 오히려 불편감을 유발하는 경우가 많기 때문입니다.
일반적으로 종양수술시 적어도 1cm 이상의 안전변연이 추천되지만 혀에서는 이보다 안전변연을 더 확대해서 수술하는 것이 안전한 것으로 알려져 있습니다. 보다 진행된 병기의 병소에서는 안전변연의 확보가 쉽지 않은 경우가 있게 되고 부분설절제술이나 완전설절제술을 선택하는 경우가 있는데 이렇게 혀를 절제한 후에는 혀의 부피를 고려하여 피판을 선택하여 재건을 하게 됩니다.병소의 크기가 크거나 후방부에 위치하는 경우는 구강내 접근법으로는 병소의 완전절제가 용이하지 않기 때문에 여러가지 절개법을 이용하여 시야를 확보하게 됩니다.
병기와 진단결과에 따라 경부림프절 절제술시행 여부를 결정하게 됩니다. 병기가 III기 혹은 IV기인 경우는 수술과 방사선의 복합적 치료가 필요하며 항암약물 치료가 방사선 치료와 함께 병행되기도 합니다.

[설암의 수술과 대표적인 피판 부위]
수술범위에 따라서 준비하는 과정이 약간씩 차이가 있을 수 있습니다.
통상적으로 재건을 위한 피판의 준비가 필요하지 않은 경우는 수술전 준비가 다른 수술과 큰 차이가 없습니다.
약을 복용하고 계신 경우 담당의와 상의하여 복용 여부를 결정하게 되는데 통상 혈압약은 수술 당일에도 복용하시게 되고 혈압약과 종종 같이 처방되는 아스피린 종류는 수술 1주일 전부터 복용을 중단하는 경우가 대부분입니다. 이러한 약들은 환자분의 상태에 따라서 복용 중단시 부작용을 가져올 수 있으므로 담당의와 상의 후 결정해야 합니다.
전신마취를 해야 하므로 전날 밤 12시(수술 당일 0시)부터 금식을 하시게 됩니다. 이전까지는 일반적인 식사를 하시면 됩니다.
수술 범위내의 털과 이식부위의 털을 제거하게 됩니다. 경부림프절 수술을 하는 경우는 귀 주변의 머리털이 수술에 방해가 되는 경우가 종종있어 감염가능성을 낮추고 수술 후 상처의 드레싱을 쉽게 하기 위하여 귀 주변의 머리카락을 짧게 정리하기도 합니다. 이식하는 피판에 따라서 피부이식이 추가적으로 필요한 경우들이 있고 구강내 재건을 하였을 경우에 입안에 털이 자라는 경우가 있을 수 있어 수술 전에 이식부위에 대한 제모를 시행하기도 합니다. 최근에는 면도보다는 제모제를 발라 털을 제거하는 경우가 많습니다.
경부림프절 제거를 같이 하는 경우 수술상처가 목에 생기게 되어 치유전까지 머리를 감거나 샤워 등의 가벼운 목욕을 하는 것이 어려운 경우가 많습니다. 물을 쓰지 않고 머리를 감을 수 있는 샴푸도 나와 있고 상처치유가 어느 정도 진행되면 수술 부위에 물이 닿지 않도록 하는 자세로 씻을 수 있기는 하지만 수술 후 2주 정도는 수술부위의 안정을 위하여 되도록이면 물을 닿지 않도록 하는 것이 유리할 수 있습니다. 따라서 수술 전날 목욕을 하시는 것도 추천되나 감기에 걸리지 않도록 주의하셔야 합니다.
설암 수술은 보통 짧게는 1-2시간에서 수술에 따라서는 길게는 12시간 이상 걸릴 수도 있는 수술입니다. 환자의 병의 정도, 수술 범위, 재건수술의 종류 등에 따라서 수술 시간에 차이가 있게 됩니다. 통상 재건수술을 동시에 시행하지 않은 경우는 수술 후에는 회복실로 나오시게 되고, 숨을 잘 쉬게 되면 보통은 1~2시간 내외에 입원실로 돌아오게 됩니다.
재건술을 같이 시행받거나 수술 범위가 큰 경우에는 환자분의 상태를 좀 더 면밀히 지켜 볼 수 있는 중환자실에서 1-2일 정도 집중 치료를 받고 병실로 올라오시게 됩니다.
구강 내 상처가 생기게 되고 수술로 인하여 혀의 움직임이 제한되는 경우가 많아 음식물 섭취를 위하여 비위관(콧줄)을 사용하게 됩니다.
수술의 정도와 치유 경과에 따라서 다르기는 하지만 10일-14일 정도면 콧줄을 제거할 수 있습니다. 경우에 따라서는 상처부위가 잘 아물었는지 음식물 섭취시 폐로 넘어가는 것은 없는지 검사를 시행하여 확인한 후에 제거하기도 합니다.
소변줄은 수술 후 체내 수분 대사가 적절한지를 알아보기 위하여 소변 양과 색 등을 측정 관찰하기 위하여, 또 수술 직후 환자분의 거동이 불편한 경우를 고려하여 1-2일 정도 거치하게 됩니다.
수술 후 장운동이 정상화되면 방귀가 나오게 됩니다. 보통은 방귀가 나온 후에 비위관을 거치하여 비위관을 통하여 혹은 입으로 바로 물부터 먹기 시작합니다. 조직 이식을 시행하지 않은 경우에는 혀의 상처 부위 실밥을 7~10일 사이에 완전히 상처가 아문 것을 확인하고 제거하게 되고 조직 이식을 시행한 경우는 이식부위의 상처가 낫는 것을 확인하게 됩니다. 상처 부위의 치유가 정상적이고 혈액 검사 등에 이상이 없으면 퇴원을 준비하게 되는데 조직 이식을 하지 않은 경우는 수술 후 7~10일 정도, 조직 이식을 시행한 경우는 이식한 부위에 따라서 퇴원하기까지 3주 이상의 시간이 필요하기도 합니다.
혀만 절제된 경우는 수술 후 7일 정도 후에, 악골이 같이 제거된 경우에는 뼈를 처리하는 기간이 있어 10일 정도 후에 수술로 제거한 조직에 대한 자세한 병리 조직검사 결과가 나오게 됩니다. 조직검사 결과에 따라 병기가 최종적으로 결정이 됩니다. 이 병기를 근거로 수술 후의 방사선 치료 혹은 방사선-항암동시요법 등의 추가적인 치료 여부를 결정하게 됩니다.
암 치료의 부작용은 사람마다 차이가 있습니다. 같은 치료를 받았다 하더라도 부작용의 유무, 정도, 범위가 각각 다를 수 있습니다. 치료 방법에 따라서도 부작용은 다르게 나타날 수 있습니다.
혀 절제술 후 구강피부누공, 연하장애, 마비성구음장애 등이 나타날 수 있습니다. 쉰 목소리, 개구장애 등도 드물게 일어날 수 있는 합병증입니다.
수술 중 설신경이나 설하신경을 절제하는 경우는 드물지만, 종양의 침범 여부에 따라 절제 범위에 포함되면 발음이나 음식물을 삼키는데 어려움을 겪을 수 있습니다. 이러한 신경손상과 관련이 없더라도 수술 후 반흔(흉터)조직 등으로 인하여 혀의 움직임이 제한을 받는 경우가 있어 이에 따른 발음과 연하장애가 생길 수 있습니다.
림프절로 전이가 의심되거나 전이가 있는 경우에는 경부림프절절제술을 같이 시행해야 하는 경우가 종종 있습니다. 이로 인하여 밖에서 볼 수 있는 반흔(흉터)이 경부에 생기게 됩니다. 혀 기저부에 종양이 있을 때 경우에 따라 입술 및 하악골을 분리하여 병소에 접근하는 방법을 사용할 수도 있어 이로 인하여 입술 부위에 반흔(흉터)이 생기는 경우도 드물게 있을 수 있습니다.
혀를 절제한 후에는 일차봉합을 할 수도 있지만 기능 및 외형의 회복을 위하여 조직 이식술을 동시에 시행하는 경우가 많습니다. 혀를 재건하는데 사용하는 피판은 주로 손목의 안쪽이나 다리, 배, 등, 가슴 등에서 가져오게 되는데 이렇게 피판을 제공한 공여부에는 그로 인한 반흔(흉터)이 남게 됩니다.
경부림프절절제술을 시행하면 어깨를 움직이는 근육으로 분포하는 신경(11번째 신경, 부신경) 주변의 림프절을 제거하기 위하여 신경에 자극을 주거나 심하면 신경을 제거하는 경우도 있습니다. 이렇게 되면 부신경이 지배하는 근육의 움직임에 장애가 오고 그 부위에 통증을 유발하기도 합니다. 수술을 받은 목 부위는 다소 딱딱한 느낌이 들게 됩니다.
수술 후의 통증으로 인해 숨을 크게 쉬기가 어려워 폐가 짜부러지는 현상을 무기폐라 하는데 그대로 방치하면 호흡 곤란과 폐부전증이 올 수도 있고 폐렴이 생기기 쉽습니다. 이는 전신마취 하에 수술 받은 환자가 주의해야 하는 부작용입니다. 이를 예방하려면 수술 후 심호흡을 하고 기침을 하여 가래를 뱉어내야 합니다.
항암화학요법의 부작용은 사용한 약물의 종류와 투여방법에 따라 다양하게 나타납니다. 흔한 부작용으로는 구역질, 구토, 식욕감소, 탈모, 설사, 구강 상처 등이 있습니다. 또한 항암화학요법은 백혈구, 적혈구, 혈소판을 생성하는 골수세포를 억제합니다. 따라서 가벼운 출혈, 쉽게 멍드는 증상, 피로감, 쉽게 숨차는 증상이 생길 수 있고 면역력이 떨어지면 세균감염에 의한 증상이 나타날 수 있습니다. 항암 치료 시 구강 내 나타날 수 있는 합병증으로는 점막염, 미각소실, 구강건조증, 감염증 등이 있습니다.
점막염의 치료를 위해서는 감염원이나 급•만성 자극요소를 없애주어 구강위생상태를 청결하게 유지하고 적절한 국소적 또는 전신적 항염증제 또는 항생제를 투여하고 부드러운 음식과 수분을 공급하고 술, 담배, 탄산음료는 금지하는 것이 좋습니다.
항암약물치료를 하기 전에 감염의 가능성이 있거나 기타 다른 이유로 발치가 필요한 경우 단순발치는 약물치료 시작 5일 정도 전에, 외과적 발치는 약 7일전에 발치를 하는 것이 좋습니다. 발치 시에 날카로운 치조능(잇몸의 솟은 꼭대기 부분)은 삭제하여 완만하게 하는 것이 좋고 되도록 일차봉합을 하기 위해 노력합니다. 혈소판 수치는 50,000/mm2 미만인 경우는 수혈이 필요할 수 있으며 백혈구 수치가 2,000/mm2 미만 혹은 중성구가 1,000/mm2 미만인 경우에는 발치를 연기하는 것이 추천되나 꼭 발치를 해야 하는 경우에는 예방적 항생제를 반드시 투여해야 합니다.
방사선 치료 중에는 구강위생의 유지가 가장 중요합니다. 방사선 조사 전의 예방적 치료가 선행 조건입니다. 방사선 치료 전 치과치료의 항목에는 구강위생 교육, 치석제거, 치아 우식(치아경조직의 괴사) 예방, 불소도포 그리고 만성자극이나 감염의 요인을 제거해 주는 것 등이 포함됩니다.
방사선 치료 시 합병증은 급성 합병증과 지연된 합병증으로 나눌 수 있습니다.
급성 합병증으로는 점막염, 피부반응, 탈모(방사선 조사 부위 내 국소적), 미각소실, 구강건조증, 병균감염 등이 있고 지연 합병증으로는 허혈과 섬유화, 연조직 괴사, 개구 장애(입 벌림 장애), 방사선 골 괴사 등이 있습니다.
방사선 치료를 받은 환자는 치아 우식이 발생하기 쉽습니다. 이를 예방하기 위해 환자 스스로 그 위험성을 인식하여 구강위생 상태를 최상으로 유지해야 합니다. 아울러 전문가 불소도포, 자가 불소도포 등의 시행과 함께 치과 방문 횟수를 늘려 자주 검진을 받아 우식 치아를 조기에 보존 수복하는 것이 중요합니다.
방사선성 골 괴사는 구강 및 경부에 방사선 치료를 받은 환자가 발치 혹은 외과적 시술을 악골(턱뼈)에 받는 경우 치유가 정상적으로 일어나지 않아 뼈가 노출된 채로 아물지 않고 괴사되어 가는 것을 말하며 이러한 방사선성 골 괴사를 예방하기 위해서는 예후가 불량할 것으로 예상되는 치아는 방사선 조사 최소 2주 전에 발치를 시행하고 발치 시에는 예방적 항생제를 투여하고 외과적 손상을 최소화하는 것이 필요합니다. 구강청결을 유지하는 것이 또한 중요하며 방사선 치료 후 발치가 불가피한 경우에는 고압산소요법 등의 사용을 고려하기도 합니다.
혀에는 림프관이 풍부하며 움직임이 많기 때문에 림프절전이가 쉽게 일어납니다.
외형상 표면침윤성, 심부궤양성 및 외장성으로 나뉩니다. 종양의 두께가 예후와 밀접하게 관련되어 있는 것으로 알려져 있는데 종양의 두께가 두꺼울수록 경부림프절 전이가 잘되는 것으로 알려져 있습니다. 구강암 전체의 경우 2mm 이하인 경우는 경부림프절 전이가 약 13%, 2-9mm에서는 46%, 9mm이상인 경우는 65% 정도의 경부림프절 전이가 관찰된다는 연구 결과도 있습니다.

[설암의 경부림프절 전이]
구강부 설암의 수술후 치료 실패의 주된 이유는 원발병소 주변에서 다시 재발하는 것으로 알려져 있습니다. 보고자마다 다소의 차이는 있으나 4cm이하의 병소인 경우 3년 생존율이 70-80% 정도, 이보다 큰 병소의 경우는 40-50% 정도라는 보고도 있습니다.
설암의 경우 암종의 크기가 작더라도 경부림프절 전이의 가능성이 높은 것으로 알려져 있습니다. 크기가 4cm이하인 경우, 영상학적 검사에서 전이가 의심되지 않는 경우 예방적으로 경부청소술을 시행했을 때 20-30%에서 림프절 전이가 발견됩니다. 크기가 큰 경우에는 림프절 피막 밖으로 전파가 될 가능성이 높습니다. 이러한 피막밖 전파는 예후와도 관련이 있습니다.
설암의 가장 흔한 원격전이부는 폐입니다. 따라서 추적 관찰시 폐의 영상 검사도 주기적으로 시행하게 됩니다.
설암과 나이와의 관계는 논란이 많이 있는 부분입니다. 발표자에 따라서 나이가 젊을수록 예후가 좋지 않다는 주장도 있고 이에 반하여 나이는 예후와 관련이 없다는 주장도 있습니다.
의료진이나 병원에 따라서 차이는 있지만 일반적으로 구강암으로 치료를 받은 환자 분들은 치료 후 1년간은 4-8주마다, 치료 후 2년째는 2-4개월 마다, 3년째는 4-6개월 마다, 3년 이후에는 6개월마다 검진하여 5년이 지나면 완치된 것으로 보는 것이 보편적이나 이후에도 1년 주기의 추적관찰이 권유됩니다.
이러한 추적관찰의 목적은 원발부의 재발여부에 대한 검사, 종양의 전이여부에 대한 검사, 이차 종양의 발현 여부 검사, 치료 후 부작용에 대한 검사 및 추가적인 치료나 기능적, 정신적인 문제로 인하여 의료진의 도움이 필요한지 여부에 대한 판단을 위하여 시행됩니다.
추적관찰시에는 영상검사, 내시경검사, 임상적 검사, 물리치료, 통증관리, 지지간호 등이 시행됩니다.
영상검사에는 자기공명영상촬영(MRI) 및 전산화단층촬영(CT), 초음파 검사, 일반 흉부방사선검사(흉부엑스레이, 양전자방출단층촬영술(PET) 등이 사용됩니다.
재발의 90% 이상이 통상 치료 후 2년 내에 발생한다고 알려져 있어 치료 후 2년간의 주기적인 추적 관찰은 매우 중요합니다. 추적 관찰 시에는 발음, 의사소통, 식사 및 영양, 목 및 어깨 부위와 관련된 문제, 청력, 저작 등에 대한 문제 목록을 만들어 검사하도록 권유하고 있습니다.
발음은 치료 후 지속적인 언어치료를 시행하고 목 및 어깨 부위의 문제는 적극적인 물리치료를 시행 받으시는 것이 좋습니다.