우리 몸을 지지하고 중요한 기관과 연조직을 보호하며 혈구세포를 생산하는 뼈에서 발생합니다.
골종양은 우리 몸의 뼈에 생기는 종양을 통칭하는 단어이며, 양성이 악성보다 흔하게 발생합니다. 악성골종양에는 골 육종, 연골 육종, 유잉 육종, 전이성 골종양 등이 있습니다.
병인은 정확히 밝혀져 있지 않으나 지나친 뼈의 성장, 선천적인 염색체 이상, 암유전자, 방사선 노출, 항암제, 골 질환 등과 관련이 있는 것으로 보고되고 있습니다.
증상은 매우 천천히 생기며, 가장 흔한 증상은 통증입니다. 그 밖에 암이 발생한 팔 다리의 힘이 약해지거나 관절의 운동 범위가 감소하는 경우, 팔 다리가 붓는 경우가 드물게 있습니다.
혈액검사, 방사선검사, 핵의학검사(골 스캔), 자기공명영상(MRI)으로 진단하며 원발성, 전이성 골종양 및 골결핵을 포함한 감염성 질환들을 감별해야 하며, 조직검사로 확진합니다.
종양의 종류, 크기, 위치, 암의 진행 정도, 환자의 나이, 전신 건강 상태 등에 따라 치료 방법이 달라지며 골종양은 수술, 방사선, 항암제 등을 조합하여 치료하므로, 골연부종양 전문의, 방사선 종양학 전문의, 항암제 치료 전문의가 팀을 이루게 됩니다. 수술이 일차적 치료가 되며, 최근에는 사지 구제술(보존술)의 비율이 80-90% 이상을 차지하며 보편화되는 추세입니다.
사지 구제술 후의 초기 합병증은 20~35%정도로 보고되고 있습니다. 가장 흔한 합병증은 피부괴사입니다. 신경손상으로 인한 마비증상, 혈관 손상이나 혈전으로 인한 순환장애가 올 수 있고, 관절의 기능장애가 나타날 수 있습니다.
국소 재발의 경우는 90%가 2년 내에 일어나게 되므로, 통상적으로 수술 후 2년까지는 매 3개월마다 외래를 통해 재발 및 전이 여부에 대한 검사를 시행하고 이후 5년까지는 6개월마다, 5년이 지나면 1년마다 추적 관찰하는 것이 원칙입니다.
우리 몸의 골격은 다른 신체 조직을 지지하고 중요한 기관과 연조직을 보호하며, 뼈에 부착되어 있는 근육을 움직이는 지렛대 역할을 합니다. 또한 뼈는 혈구세포를 생산하고, 칼슘과 인을 저장합니다.
뼈는 모양에 따라 4가지로 분류합니다.
사지를 이루는 중요한 뼈로, 골간의 양 골단에 2개의 둥근 융기가 연결되어 있습니다. 장골은 상완골, 대퇴골과 같이 중력을 지탱하거나 근육의 지렛대 역할을 하는 사지의 골격을 이룹니다.
손목과 발목을 구성하며, 운동 범위가 매우 제한되어 있습니다.
늑골과 흉골, 견갑골, 두개골을 구성하고 있으며, 뼈의 면이 넓어 근육이 쉽게 부착될 수 있습니다.
척추골, 몇 개의 안면골 및 골반대를 구성합니다.
그 외에 수적으로 드물지만 종자골(Sesamoid bone)은 건(tendon) 내에서 발달하는 작은 결절상의 골로 슬개골 등이 여기에 속합니다.

[골격구조]
뼈는 골단판(성장판)에서 생성이 됩니다. 장골이 성장할 때, 장골의 연골세포가 골단판(성장판) 내에서 빠르게 증식하고 점차 뼈세포로 대치되는데, 이를 골화 과정이라고 합니다. 이와 같은 방식으로 장골의 골단(뼈마디의 끝)은 20-25세까지 계속 성장하다가 골단이 닫히고 골화 과정이 끝나게 됩니다. 재구성 과정이란 뼈의 선택적 흡수와 형성이 일어나는 과정을 말하며, 골단을 일정한 크기로 유지하기 위해 뼈의 길이가 길어질 때 일어납니다. 뼈는 뼈 조직의 주위에 골아세포가 침착하여 새로운 뼈의 층을 만들면서 두꺼워집니다.
파골세포는 뼈를 파괴하는 세포로, 뼈 안쪽의 골세포를 용해시켜 골수강의 크기를 증가시킵니다. 뼈는 골세포가 계속적으로 활동하며 뼈를 재구성하는 역동적인 구조를 갖고 있습니다. 건강한 성인의 경우, 뼈에 적절한 자극이 가해지면 흡수와 침전 과정이 균형을 이루게 됩니다. 그 결과 오래된 뼈는 제거되고 새로운 뼈가 형성됩니다. 반면에 장기간 동안 침상 안정을 취하면 뼈가 적절한 힘을 받지 못하기 때문에 뼈의 형성과 재구성이 적절치 못하게 되고 그 결과 뼈가 약해져서 쉽게 부러지게 됩니다.

[뼈의 구조]
무릎관절 주위의 골간단 부위가 각종 양성 및 악성 골종양이 가장 많이 발생하는 곳입니다. 몇 가지 종양은 발생부위가 진단에 도움이 되는데, 골단부에는 연골모세포종, 거대 세포종이 호발하며, 골간부에는 유잉 육종, 악성 림프종, 연골육종 등의 골종양이 호발합니다. 척추에는 전이암, 골반골에는 연골육종이 특히 많이 발생합니다.
골종양은 우리 몸의 뼈에 생기는 혹(종양)을 모두 말하는 단어이며, 크게 양성과 악성으로 구분할 수 있고, 양성이 악성보다 흔하게 발생합니다. 양성 골종양은 뼈에서 생겨 뼈를 파괴할 수 있지만, 생명에 위협은 없는 종양입니다.
악성 골종양이란 결합 조직, 연골, 뼈, 혈관과 림프관 등 근골격 조직에 발생한 암으로, 이 근골격 조직의 악성 종양을 육종이라고 부릅니다. 육종은 우리 몸 206개의 뼈 어느 곳에서나 발생될 수 있으나, 팔 다리의 긴 뼈에서 주로 발생되며, 어느 연령에서나 시작될 수 있지만 주로 어린이들과 젊은 성인에게서 호발합니다.
악성 골종양의 증상은 매우 천천히 생기며, 가장 흔한 증상은 통증입니다. 야간 통증, 휴식 중의 간헐적인 통증, 운동시 통증이 발생하는 경우 또는 통증이 지속적으로 악화되는 경우에 의심할 수 있습니다. 그 밖에 암이 발생한 팔 다리의 힘이 약해지거나 관절의 운동 범위 감소하는 경우, 팔 다리가 붓는 경우가 드물게 있습니다.
골육종의 경우 85%의 환자에게서 통증이 있는 것으로 알려져 있으며 이 통증은 활동에 의해 악화되는 경우가 많습니다. 만져지는 혹(종괴)이 있는 경우는 약 40% 정도 입니다. 또한 통증은 종양의 위치와 크기에 따라 달라질 수 있습니다. 관절 근처에 발생한 육종은 관절이 붓는 증상이나 압통을 유발하고, 다리뼈에 생긴 골암은 뼈를 약화시켜 부러뜨릴 수 있습니다. 전신적인 증상으로 피로, 열, 체중 감소, 빈혈 등이 나타날 수 있습니다.
국소적인 증상으로 통증, 종창, 압통, 관절운동 제한, 약해진 뼈로 인한 병적 골절이 있을 수 있고, 운동 중에 다쳐서 발생한 증상으로 잘못 알고 있는 경우가 많습니다. 전신적인 증상으로 체중 감소, 발열, 식욕 감소, 빈혈 등이 발생할 수 있습니다.
통증이나 종괴, 국소 종창이 발생할 수 있으나 대부분 통증이 심하지 않고 종양의 성장이 느려 발견 시에는 이미 많이 진행된 경우가 흔합니다.
심한 통증과 종창을 호소하며 시간이 지나면서 압통과 국소적인 온열감을 동반한 통증이 있을 수 있습니다. 미열이나 간헐적 발열 등 전신적 증상과 함께 빈혈, 백혈구 증가나 혈침 속도(적혈구 침강 속도) 상승을 보이기도 합니다. 발생한 부위에 따른 증상의 차이가 있는데 흉벽에 발생한 큰 종양은 호흡 곤란을 유발할 수 있으며, 척추 주변에서 발생한 경우에는 척추 신경 압박의 증상을 유발합니다. 골수염과 감별이 어려울 수 있으며, 운동 중 손상을 입은 경우에는 진단의 지연을 초래할 수 있습니다.
전이성 골종양의 증상은 암세포가 전이된 부위의 통증이 주 증상이며, 그 밖에 종창, 병적 골절, 척추 전이에 의한 신경압박 증상, 고칼슘혈증으로 인한 여러 증상 등도 생길 수 있습니다.
뼈의 통증은 가장 흔한 증상으로 전이된 암에 의해 뼈에 미세한 골절이 생긴 경우나 주변 근육들의 반응성 경련, 골막의 팽창 등에 의해 발생합니다. 고칼슘혈증은 전이성 골종양의 10~20%에서 발생하는데, 암세포에 의한 골조직의 파괴나 암세포가 분비하는 화학 물질로 인해 생기는 것으로 생각하고 있습니다. 고칼슘혈증을 치료하지 않을 경우 가볍게는 피로감, 야뇨증, 식욕저하가 올 수 있고 심한 경우 신부전, 혼수, 심장마비까지 유발할 수 있으므로 적극적인 치료가 필수적입니다. 병적 골절이 발생하면 극심한 통증 및 거동 불가능으로 인해 침상 생활을 지속할 수밖에 없으므로, 삶의 질이 저하되고 폐렴 등의 합병증이 발생할 가능성도 커지게 됩니다. 병적 골절이 발생하거나 발생할 가능성이 높다고 판단되는 경우에는 적극적인 수술적 치료를 통해 통증을 줄이고 조기에 거동할 수 있도록 하는 것이 중요합니다. 척추 전이가 있는 환자가 대소변 기능 장애, 사지의 마비 증상 등 신경학적 징후를 보이면 신경압박의 가능성이 높습니다. 응급으로 검사를 시행하고 수술이나 방사선 치료를 통해 압박된 신경을 풀어주는 조치가 필요합니다.
원발성 골종양의 경우 원인을 모르는 뼈의 통증이 계속되고 종괴가 만져질 경우 혈액검사, 방사선검사, 핵의학검사(뼈 스캔), 자기공명영상(MRI)으로 진단하며 조직검사로 확진합니다.
자칫 진단이 늦어지거나, 잘못된 방법의 조직검사로 인하여 절단 수술이 불가피하게 되는 경우가 있으므로, 악성 골종양 환자는 여러 분야의 전문적인 진료가 가능한 병원에서 진단을 받고 초기에 치료할 것을 권유합니다.
혈청 칼슘(calcium)은 골 파괴, 탈석회 현상이 진행한 다발성 골수종, 전이성 골종양에서 증가하며 혈청 알카리성 인산 효소(alkaline phosphatase)는 골육종의 약 반수에서 증가합니다. 유산 탈수소효소(LDH)의 증가 시에는 골육종이나 유잉 육종의 재발이나 전이의 지표로 사용할 수 있습니다. 유잉 육종이 진행된 경우는 백혈구의 증가, 혈침속도의 상승, 유산 탈수소효소(LDH)의 증가가 관찰될 수 있고, 전이성 암의 경우 빈혈이 빈번하게 발생할 수 있습니다.
단순 방사선 사진 촬영은 악성 골종양을 진단하는데 가장 중요한 단계이며, 방법도 손쉽고 능률적입니다. 골 병변이 염증성 질환인지, 종양 계통이 양성 혹은 악성인지 어느 정도 구분할 수 있게 해주고, 종양의 위치, 크기, 모양을 관찰할 수 있습니다. 또한 통증은 다른 부위에서 방사된 것일 수 있으므로 인접 부위를 함께 관찰해야 합니다. 대부분의 악성 골종양은 경계가 불분명한 골 파괴와 특징적인 골막 반응 소견을 보입니다. 하지만 약 30-50%의 골 파괴가 일어날 경우에나 비로소 단순 방사선 사진 상에 나타나게 되므로 그 한계가 있습니다.

[악성 골종양의 단순 방사선 사진]
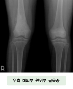
골육종은 골 증식이 왕성한데, 종양이 증식되어 근위 및 원위에 골막이 튀어나와 생기는 코드만 삼각 골막 반응을 보이거나, 많은 침골이 골 피질에 수직으로 배열하여 머리빗 모양을 나타내거나, 방사성으로 배열되어 햇살 모양의 골막 반응을 보이는 경우가 있습니다.
![]() [우측 대퇴골 원위부 골육종] |
![]() [골육종] |
연골육종은 종양이 뼈 내부의 골수나 뼈의 밖으로 돌출되어 있고, 종양 안쪽에서는 불규칙한 골 파괴와 석회화 소견이 관찰됩니다.
![]() [오른쪽 골반골의 연골육종] |
![]() [연골육종] |
유잉 육종은 장관골의 한 가운데에 마치 벌레가 파먹은 모양의 골파괴 양상과 골형성이 혼합되어 있는 모습을 보입니다. 골막은 특징적으로 비후되어 양파껍질 모양이 관찰될 수 있습니다.
![]() [좌측 상완골 유잉육종] |
![]() [유잉육종] |
전이성 골종양은 단순 방사선 검사상 골 용해성 병변이 가장 흔하며, 골 용해성, 골 형성성 또는 혼합성으로 보일 수 있습니다. 방사선 촬영 시 해당 골의 전체 범위를 포함하도록 하며 좀 더 근위부의 병변으로 인해서 통증이 발생할 수도 있으므로 이를 고려하여 해당 부위를 검사합니다.
![]() [왼쪽 상완골의 전이성 골종양의 수술전후 사진] |
![]() [왼쪽 대퇴부의 전이성 골종양의 수술전후 사진] |

[전이성 골종양]
척추, 골반골의 종양이나 장관골의 피질에 위치한 종양을 판단할 때, 그리고 종양의 폐 전이 유무를 판단하거나 복부 장기로의 전이 등 종양의 진행단계를 결정할 때에 유용하게 이용되고 있으며, 원발암의 추적 조사 등에도 이용되고 있습니다. 침생검 시행시 원발 부위를 정확히 겨냥하기 위한 영상 도구로도 흔히 사용되며 골반골이나 견갑골 등 3차원적으로 복잡한 구조를 가지는 골격부위에서 발생한 악성 골종양의 수술 전 평가로써 3차원적으로 재구성한 전산화단층촬영(CT)을 사용하기도 합니다. 그 밖에 3차원 혈관조영 전산화단층촬영(CT)은 수술 전 종양의 혈관 분포도와 종양의 입체를 정확히 확인하는데 도움이 됩니다.

[ 좌측 견갑골에 발생한 연골육종에 대한 전산화단층촬영(CT)유도하 생검 모습과 3차원 재구성 CT ]
근골격계 병변의 평가에 있어 중요한 방사선 검사로 특히 종양의 진행단계를 결정하는데 필수적인 검사입니다. 조직간의 구분이 명확하고 여러 각도에서 촬영이 용이하여 골종양의 크기나 모양, 주위 조직과의 관계, 혈관이나 신경과의 관계를 잘 알 수 있습니다. 또한 종양의 침범 범위가 될 수 있는 근육, 피하 지방, 관절, 신경 혈관 구조물 등에 대해 정확한 정보를 주므로 사지 구제술(보존술)의 적용 가능성 판정과 절단 시의 절단 범위 결정에 절대적으로 자기공명영상(MRI)검사가 필요합니다. 종양에 대한 항암화학요법 전후에 영상을 비교해 치료 효과 판정에 이용하기도 합니다.

[ 악성 골종양의 자기 공명영상 사진 ]
병변의 활동성 파악에 유용하며 다른 부위로의 전이 유무를 평가하는데 이용되고 종양과 감염의 감별에 이용되기도 합니다. 부분적으로 종양의 항암화학요법 후의 효과 판정 등에 이용되고 있습니다. 단순 방사선검사의 경우 골에 30-50%의 변화가 있어야 나타나지만 방사선 동위원소를 이용한 골 주사는 15%의 변화만 있어도 병변이 나타나 조기 진단이 가능합니다.

[ 악성 골종양의 뼈 스캔 사진 ]
종양의 선별검사, 병기설정에 탁월한 성능을 보이는 검사로 최근 각광을 받고 있습니다. 원발 종양의 발생 여부를 예민하게 발견할 수 있으며, 종양 치료 후의 재발 여부와 치료 효과를 판정하거나, 2차 확인 수술이 필요한지 여부, 전이 여부를 판정하는 데 도움이 됩니다.
혈청 종양표지자(serum tumor marker)는 특정 암세포가 혈액으로 분비하는 고유한 분비물질로서, 전이성 골종양의 진단 전에 원발암이 발견되지 않은 경우에 원발암의 부위를 예측하기 위해 이들의 농도를 측정해 볼 수 있으며, 기타 치료 후 재발 및 전이 판정, 치료 효과 판정 등에 사용할 수 있습니다. 종양 표지자의 예로는 PSA(전립선암), CA 125(난소암), hCG(난소암, 고환암), AFP(간암, 난소암, 고환암), CEA(대장암)등이 있습니다. 또한 각종 혈액검사를 통해 환자의 전반적인 건강 상태를 파악하고, 고칼슘혈증의 유무 등을 판정합니다. 전이성 골종양은 골 조직에 손상을 일으키므로 알카리성 인산효소(ALP) 등의 성분이 높게 발견될 수 있습니다.
정확한 진단을 위해서는 조직검사가 필수적이며, 조직검사에는 천자검사법, 침 생검법과 수술을 하는 절개 생검법이 있습니다. 방사선검사나 자기공명영상(MRI)으로 어느 정도 예측은 가능하나 악성 골종양의 확실한 조직학적 진단을 위해서는 조직검사가 필요한 경우가 많습니다. 필요한 모든 다른 검사 후 진단의 최종 단계에 시행되는데, 이는 조직검사로 인해 종양 주위에 출혈이나 염증 등이 야기될 수 있어 방사선검사, 특히 자기공명영상(MRI) 검사에 지장을 주기 때문입니다. 조직검사의 방법과 위치는 나중에 시행될 사지 보존을 위한 수술적 치료를 생각하여 골종양 전문의에 의해 시행되어야 합니다.
종양이 피질골 밖으로 뚫고 나온 경우에 사용할 수 있습니다. 비교적 간단하고 다른 장기로의 침범 정도가 적으며 양성과 악성 종양의 구별에 유용하지만, 적은 검체의 채취로 인해 진단이 불완전할 수 있습니다.
병소가 큰 경우, 병변이 비교적 균질한 경우, 전신 상태가 불량하거나 척추체의 생검 등 절개 생검이 곤란한 경우에 사용할 수 있습니다. 장점으로는 생검부의 손상, 감염을 최소화할 수 있고 즉각적인 방사선 요법 및 항암화학요법이 가능하다는 점이 있지만, 역시 검체가 적게 얻어져 진단이 불확실할 수 있습니다. 척추 및 골반골 병변에 주로 이용됩니다.
시술 시 정확한 생검 부위를 선택하여 치료적 수술 시에 절제가 가능하도록 시행합니다. 출혈 부위, 궤양 형성 부위나 괴사 부위를 피하여 생검을 시행하여야 하는데, 종양 중심부에는 괴사가 많고 변연부에는 이차적 변화가 없는 종양조직이 있어 주의해야 합니다. 부위에 따라 종양의 분화도가 다를 수 있으므로 종양의 여러 부위에서 충분한 양의 조직을 채취합니다.

[ 절개 생검 ]
대부분 원발성 암(폐암, 위암, 유방암 등)의 병기 판정 중 발견되거나 추적 관찰 중에 발견되며 암의 병력이 있는 환자에게 골 관절 부위에 국소 통증이 있으면 전이를 의심해야 합니다. 원발암이 어디에 있는지 분명치 않은 경우, 뼈에 나타난 이상 소견만으로 원발성 골종양으로 오인되는 경우가 있는데, 폐암이나 신장암의 경우 이런 현상을 종종 볼 수 있습니다. 뼈로 전이되기 쉬운 암 중에서 가장 많은 것은 유방암이며, 간혹 치료 후 10년 이상 지난 후에 뼈로 전이되어 발견되는 경우도 있습니다. 골 전이 환자의 10~15% 정도에서 병적 골절(전이된 암으로 인해 뼈의 강도가 약화되어 작은 충격에도 부러지는 현상)이 발생하며, 척추뼈에 전이된 암은 진행함에 따라 신경을 압박해서 팔, 다리가 마비되거나 대소변 기능에 장애가 일어나는 등의 합병증을 유발할 수 있습니다.
암의 진행단계를 병기라 하는데 악성 골종양의 경우 조직학적 악성 정도, 해부학적 위치, 원격 전이 여부를 종합하여 결정하는 Enneking(에네킹)병기 또는 AJCC(미국암연합회, American Joint Committee on Cancer)병기를 가장 많이 사용합니다.
조직 악성도(G)는 저악성도와 고악성도로 나눕니다. 저악성도는 원격 전이 확률이 25% 이하이고 조직학적으로 분화가 잘 되어 있고, 소수의 유사 분열이 있는 것을 말하며 고악성도는 원격 전이 확률이 높고, 괴사가 있고, 미세 침윤이 있는 것을 말합니다.
해부학적 위치(T)는 구획 내와 구획 외로 구분하는데, 구획이란 자연적인 방어벽으로 작용하는 해부학적인 구조를 말합니다. 구획에는 골막, 골 피질, 관절연골, 건막, 근육 등이 있습니다.
원격 전이(M)는 신체 다른 장기로 전이 여부를 말합니다.
Enneking(에네킹)병기에서는 이상을 종합하여 저악성도 종양은 I기, 고악성도 종양은 II기, 조직 악성도와 관계없이 원격 전이가 있으면 III기로 분류합니다. 그리고 종양이 구획 내에 있는지 밖에 있는지에 따라 A, B로 구분합니다.
AJCC 병기에서는 악성 골종양이 발생한 뼈에서 연속되지 않은 또 다른 병변, 즉 도약병변(skip lesion)이 있는 경우 III기로 분류하고, 원격전이가 있는 경우 IV기로 분류합니다. IV기는 보다 세분화하여 폐전이만 있을 경우 IVA로, 림프절 전이가 있거나 폐 이외의 장기로 원격전이가 있을 경우 IVB로 분류합니다. 어떤 병기를 사용하든 IA, IB, IIA, IIB 의 순으로 숫자가 높을수록 진행된 병기를 의미합니다.
| 병기 | 조직 악성도(G) | 해부학적 위치(T) | 원격 전이(M) |
|---|---|---|---|
| IA | 저악성도(low grade) | 구획 내 종양(intracompartmental) | 원격 전이 없음 |
| IB | 구획 외 종양(extracompartmental) | ||
| IIA | 고악성도(high grade) | 구획 내 종양(intracompartmental) | |
| IIB | 구획 외 종양(extracompartmental) | ||
| IIIA | 조직 악성도와 관계없음 | 구획 내 종양(intracompartmental) | 원격 전이 있음 |
| IIIB | 구획 외 종양(extracompartmental) |
I기의 경우 일반적으로 종양에 대한 수술을 하게 되며, 이때 차후 재발 및 전이를 방지하기 위해 종양을 완전히 적출해야 합니다.
II기의 경우 전이의 빈도를 줄이기 위해 통상적으로 수술과 항암화학요법을 병행하게 됩니다.
III기의 경우 이미 전이가 있는 경우로 항암화학요법 및 수술 등 적극적인 치료를 하여도 대부분 매우 불량한 예후를 보입니다.
|
원발종양 (Tumor) |
T1 |
원발 종양의 최대직경이 8cm 이하 |
|
T2 |
원발 종양의 최대직경이 8cm 초과 |
|
|
T3 |
원발 종양에서 연속되지 않은 종양(원발 종양에서 도약 병변) |
|
![]() [악성골종양의 병기-T병기] |
||
|
조직 악성도 (Grade) |
GX |
악성도를 판별할 수 없음 |
|
G1 |
잘 분화된 낮은 악성도 |
|
|
G2 |
중증도 분화된 높은 악성도 |
|
|
G3 |
분화되지 않은 높은 악성도 |
|
|
림프절 전이 (Node) |
N0 |
구역 림프절 전이가 없는 경우 |
|
N1 |
구역 림프절 전이가 있는 경우 |
|
|
원격 전이 (Metastasis) |
M0 |
원격 전이가 없는 경우 |
|
M1 |
원격 전이가 있는 경우 |
|
|
M1a |
폐에 원격 전이가 있는 경우 |
|
|
M1b |
뼈나 다른 장기에 원격 전이가 있는 경우 |
|
![]() [악성골종양의 병기-M병기] |
||
|
병기 |
원발종양(T) |
림프절전이(N) |
원격 전이(M) |
조직 악성도(G) |
|
1기A |
T1 |
N0 |
M0 |
G1 or GX |
|
1기B |
T2 |
N0 |
M0 |
G1 or GX |
|
T3 |
N0 |
M0 |
G1 or GX |
|
|
2기A |
T1 |
N0 |
M0 |
G2 or G3 |
|
2기B |
T2 |
N0 |
M0 |
G2 or G3 |
|
3기 |
T3 |
N0 |
M0 |
G2 or G3 |
|
4기A |
Any T |
N0 |
M1a |
Any G |
|
4기B |
Any T |
N1 |
Any M |
Any G |
|
Any T |
Any N |
M1b |
Any G |
다양한 종류의 원발성, 전이성 골종양 및 골결핵을 포함한 감염성 질환들을 감별해야 하며, 이를 위해 각종 방사선검사 및 혈액검사들을 시행합니다. 그러나 확실한 진단을 위해서 조직검사가 필요한 경우가 많습니다.
최근 방사선학적인 진단 방법의 발달과 항암화학요법 및 방사선 치료의 발달에 의해 악성 골종양에 대한 치료 결과가 크게 호전되고 있습니다. 종양의 종류, 크기, 위치, 암의 진행 정도, 환자의 나이, 전신 건강 상태 등에 따라 치료 방법이 달라지며 골종양은 수술, 방사선, 항암제 등을 조합하여 치료하므로, 골연부종양 전문의, 방사선종양학 전문의, 항암제치료 전문의가 팀을 이루게 됩니다.
수술 방법도 과거에는 절단술 내지는 관절 이단술(관절에서 절단 또는 분리하는 것) 등이 주를 이루었으나 최근에는 극히 제한된 경우에만 이러한 수술이 시행되며 대부분의 경우 사지의 기능을 보존하면서 종양을 적출하는 사지 구제술(보존술)의 비율이 80-90% 이상을 차지하며 보편화되는 추세입니다.
수술은 일차적 치료가 되며, 항암제 및 방사선 치료와 동반할 때 절단 없이 종양을 치료할 수 있습니다. 근래에는 사지를 보존하는 사지 구제술(보존술)이 보편적으로 시행되고 있습니다.
적절한 수술 방법과 치료 결과를 평가하기 위해 종양의 절제연에 대한 평가가 중요합니다. 종양의 어느 부분에서 절제하였는지에 따라 그림과 같이 분류합니다.
종양의 실질 내에서 절제되는 것으로 일부 양성 종양에서만 시행이 가능합니다. 예를 들어 절개 생검과 소파술이 있습니다.
종양 주위의 반응층에서 절제하는 경우를 말합니다. 반응층이란 종양 주위에 존재하는 부분으로 이 부분에는 눈에 보이지 않는 미세한 종양 세포가 있다고 간주합니다.
종양 및 반응층, 주위의 정상 조직을 충분히 포함하여 절제하는 경우로 악성 종양의 경우 반드시 광범위 절제를 해야만 완치를 기대할 수 있습니다. 악성 종양에서 광범위 절제를 할 경우 종양에서 1cm 이상의 거리를 두고 절제하는 것이 원칙입니다.
종양과 함께 종양이 발생한 구획 전체를 절제하는 방법입니다. 재발성 종양이나 침윤성이 강한 악성 종양일 경우 시행합니다.

[종양에 따른 절제 범위]
절단술은 과거에 종양을 근치적으로 절단하는 대표적인 방법이었습니다. 최근에는 항암화학요법이 발달하면서 사지 구제술(사지 보존술)을 이용하여 치료하는 추세이나 종양이 큰 경우(주요 혈관, 신경이 포함된 종양, 광범위 절제술로 충분히 종양을 절제할 수 없는 경우), 수술 후 재발하였거나 치료하기 어려운 합병증이 생겼을 때, 또는 감염이 동반되어 다른 재건술을 시도할 수 없을 때에는 절단술이 시행됩니다.

[절단술]
사지 구제술(사지 보존술)이란 종양이 있는 다리나 팔을 절단하지 않고 치료한다는 의미입니다. 기존의 절단술과 달리 종양으로부터 충분한 절제연을 가지도록 광범위 절제술을 시행한 뒤 각종 재건 방법을 이용하여 절제술로 소실된 뼈와 연부 조직을 재건해줌으로써 사지를 보존하는 수술 방법입니다. 무엇보다 중요한 것은 종양을 완전히 절제하는 것이며, 이것이 이루어지지 않으면 어떤 방법의 재건술을 하더라도 좋은 예후를 기대하기 어렵습니다. 최근에는 수술 기법 및 항암화학요법의 발달로 절단술보다는 사지 구제술(사지 보존술)로 치료하는 추세이며 약 90% 이상의 환자에게 시행되고 있습니다.
사지 구제술(사지 보존술)의 절대적인 적응증이나 금기증은 없습니다. 하지만 가능하면 종양이 작고 뼈 안에 국한되어 주위 연부 조직으로의 침범이 적을수록 좋으며, 절단하지 않고도 광범위 절제연을 얻을 수 있어야 합니다.
사지 구제술은 골격을 재건하는 방법에 따라 종양 대치물 삽입술, 동종 골이식술, 자가 골이식술, 절제 유합술 등으로 나뉩니다. 각 방법은 모두 장단점이 있으므로 환자의 상태, 종양의 위치나 크기 등을 고려하여 방법을 결정하며 한 가지 방법이 아니라 여러 가지 방법을 조합하여 사용하는 경우도 있습니다.
종양의 제거로 발생한 결손부 전체를 금속으로 된 삽입물로 대체하는 수술입니다. 또 견고한 골 고정을 통해 수술 후 즉시 안정성을 얻을 수 있어 조기 거동 및 물리 치료가 가능하고 성장기 아동의 경우 키에 맞춰 늘어나는 특수 제작된 종양 대치물을 사용할 수 있다는 장점이 있으나 비용이 많이 들고, 시간이 지나면 금속의 피로 현상으로 인한 금속 삽입물의 파괴나 해리가 발생하여 재수술을 요한다는 단점이 있습니다.
종양 수술에 사용하는 종양대치물을 이용한 관절치환술은 종양이 아닌 다른 이유, 특히 퇴행성 관절염 등에서 시행되는 일반적인 슬관절치환술이나 고관절치환술에 비해 장기적인 결과가 나쁠 수 밖에 없습니다. 광범위 절제술시에 상당 길이의 골격을 함께 제거할뿐 아니라 많은 근육 및 기타 연부조직, 때로는 피부조직의 결손까지 동반하기 때문입니다.

[종양 대치물 삽입술]
이 방법은 우리나라에서 시행하기에는 현실적으로 상당한 어려움이 있습니다. 방법은 특수 처리한 다른 사람의 뼈를 결손부에 삽입하는 것으로 골을 기증하는 기증자가 유지되는 한 뼈를 공급 받을 수 있습니다. 인체의 뼈이므로 모양과 크기가 다양하며 결손된 뼈와 같은 뼈를 삽입할 수 있습니다. 골관절 이식인 경우 인대, 관절낭 등 관절 연부 조직들을 재건함으로써 금속 대치물에 비해 자연스러운 관절 기능을 기대할 수 있습니다. 또한 시간이 오래 걸리기는 하지만 일부분의 경우 이식골(뼈)을 자신의 뼈로 다시 바꿀 수 있는 장점이 있습니다.
그러나 단점으로는 무엇보다 이식한 뼈가 환자 자신의 뼈와 아물어 붙는데 시간이 오래 걸리고, 감염 등의 합병증이 많고, 감염성 질환의 전파 가능성, 동종 골의 흡수 또는 골절 가능성이 있으며, 정확한 크기의 동종 골 선택이 어렵고, 거부 반응 등이 있을 수 있다는 점입니다. 특히 우리나라에서는 동종 골의 확보 자체에 어려움이 많습니다.
이론적으로 동종 골이식술과 종양 대치물의 장점을 모두 가질 수 있습니다. 관절 부분은 금속 대치물로 하고 골간부 쪽은 동종골(뼈)을 사용하여 환자의 골과 견고하게 금속 내 고정을 하며, 동종 골과 금속 대치물 사이는 골 시멘트를 이용하여 고정합니다. 실제로 우리나라에서는 동종 골 대신 자가 골을 저온 살균하여 사용하는 경우가 많습니다. 이식 골과 환자의 골 사이가 아물어 붙는 게 확실하게 이루어진다면, 골 결손이 큰 부위의 재건에서 전체를 모두 금속 대치물로 바꾸는 것보다는 좀 더 생물학적으로 유리할 것으로 생각됩니다.
골종양이 있던 뼈를 재사용하는 방법과 다른 부분의 뼈를 이식하는 방법이 있습니다. 재사용하는 경우는 종양을 뼈에서 제거한 뒤 남은 종양세포에 대해 고온 처리(고온 증기 소독법 등), 저온 처리(파스퇴르법, 60-70도에서 15-30분 처리) 그리고 방사선 조사 등을 시행한 뒤 그 뼈를 재사용하는 것입니다. 종양에 의한 골 파괴가 심한 경우에는 사용할 수 없지만 자가 골을 사용하므로 해부학적인 원형을 거의 보존한 상태에서 뼈가 환자에게 정확히 맞고, 상대적으로 비용이 적게 들며, 면역학적이나 질병의 전염 등의 문제가 없으므로 유용한 방법입니다.
다른 부분의 뼈를 이식하는 경우 주로 골반뼈인 장골과 다리뼈인 비골을 주로 사용합니다. 우리나라처럼 동종골(뼈)을 구하기 어려운 나라에서 많이 사용 중이나 처리한 골의 골절, 감염, 뼈가 붙지 않거나 또는 뼈가 붙는데 시간이 아주 오래 걸리는 등의 합병증이 많습니다.
젊고 활동적이며, 안정적이고 동통 없는 다리가 필요한 환자에게 적응성이 있으며, 어떤 재건술보다 더 강한 신체적 활동을 가능하게 합니다. 이 방법은 영구적인 치료로 할 수도 있으며, 종양 대치물 삽입술 후 항암화학요법 기간 중에 생길 수 있는 피부 괴사 및 연부 조직의 문제점을 피하기 위하여 종양 절제 후 일시적으로 시행했다가 1-2년이 지난 뒤 종양 대치물을 이용하여 움직일 수 있는 관절로 바꿀 수 있습니다.
골종양 제거술, 특히 육종 제거술 및 사지 구제술(사지 보존술)은 대단히 큰 수술로 감염에 주의해야 합니다. 또한 재활 치료를 통하여 새로운 사지를 사용하는 방법을 배우게 되는데 정기적인 병원 방문 및 검사는 골종양의 수술 후에 매우 중요합니다. 악성 종양의 경우 수술 후 암 세포를 완전히 없애기 위해 방사선 치료 또는 항암약물치료가 필요하며, 재발을 관찰하기 위해 정기적인 골종양 전문의의 진찰이 필요합니다. 정기 검사에는 진찰, 방사선검사, 핵의학검사, 혈액검사 및 다른 특수검사 등이 포함됩니다. 골종양은 수년 후에도 합병증을 유발할 수 있으므로 정기적인 검사가 필수적입니다.
항암화학요법은 수술과 같이 시행되며 수술 전의 항암화학요법은 암의 크기를 줄이는 효과가, 수술 후 항암화학요법은 수술 효과를 유지하고 몸의 어딘가에 남아 있는 암 세포를 죽이는 역할과 미세 전이를 없애고 원격 전이의 빈도를 억제하는 효과가 있습니다. 항암화학요법의 원칙은 가능한 고용량을 사용하고, 빨리 시작하며, 여러 약제를 병용하여 사용하는 것입니다. 특히 골육종의 경우 수술 전,후 항암화학요법이 큰 효과가 있는 것으로 알려져 있습니다.
방사선 치료는 암 조직이 있는 부위에 시행되는 치료로, 종양의 종류에 따라 다양한 방법의 치료가 시행됩니다.
일반적으로 골종양은 방사선 감수성이 낮은 종양이라 일부 악성 종양에서만 선택적으로 시행되어 왔으나, 최근 수술 기법, 영상 진단법, 방사선 치료법 등의 발전으로 기능 유지가 강조되는 사지 구제술(사지 보존술)의 치료 개념이 도입되면서 일부에서 방사선 치료의 역할이 매우 중요시되고 있습니다.
유잉 육종은 방사선에 아주 민감한 종양이기 때문에 방사선 치료만으로 65~75%, 항암화학요법과 병용 시 90~95%에서 국소 치유가 가능합니다. 소아에게는 골육종, 유잉 육종 등에 사용될 수 있고, 골 성장이 끝난 후 발생하는 간엽 종양 중 연골육종이 방사선 치료의 대상이 될 수 있습니다.
전이성 골종양에도 상당히 효과적이며 완화 치료로써 흔히 시행되고 있고 악성 골림프종에도 효과적입니다.
내분비 의존도가 높은 전립선암이나 유방암에 의한 전이성 골종양에서 남성 호르몬이나 여성 호르몬 치료를 시행할 수 있습니다.
정상 생체 내에 존재하는 면역 반응을 치료에 이용하는 방법으로 최근 면역학과 분자생물학의 발전으로 면역 치료의 항암 효과가 높을 것으로 기대되고 있습니다.
최근 특정 단백질 및 관련 유전자를 표적으로 하는 분자생물학적 개념의 치료 방법에 많은 연구와 임상적인 시도가 이루어지고 있습니다. 특정 표적을 겨냥한 항체를 이용한 치료가 효과적인 암 치료 방법임이 증명되고 있으며, 기존의 항암제 치료 혹은 방사선 치료와 병용할 경우 더욱 효과적인 치료가 될 것으로 기대되고 있습니다.
골육종은 방사선 치료에 잘 반응하지 않으므로 수술과 항암화학요법을 시행합니다. 종양 주위의 정상 조직을 충분히 포함하여 절제하는 광범위 또는 근치적 절제연을 확보하는 것이 중요합니다. 최근에는 항암화학요법을 먼저 시행하고 수술을 하게 되는데 주로 사지 구제술(사지 보존술)을 시행합니다. 수술 후 다시 항암화학요법을 시행하게 됩니다.
연골육종의 치료는 광범위 절제술이 최선의 치료 방법이며 방사선 치료나 항암화학요법은 이차적인 역할을 합니다. 성장이 느리고 전이가 서서히 일어나므로 광범위 절제술이 가능한 해부학적 위치의 육종이 예후가 좋으며 조직학적 등급, 종양의 크기, 절제연 등이 예후에 영향을 미칩니다. 충분한 절제연을 가진 광범위 절제가 되었을 경우 골육종보다 좋은 예후를 보입니다.
수술적 절제가 불가능한 경우에는 일시적인 억제를 위해 방사선 요법을 시행하기도 하며 조직학적 악성도가 높은 경우에는 항암화학요법을 시행하기도 합니다.
유잉 육종은 방사선 치료나 항암화학요법에 잘 반응하는 특징이 있습니다. 방사선 치료는 다른 육종(특히 골육종)이 발생할 가능성이 있으나 수술이 불가능하거나 수술 절제연이 충분하지 않은 경우에는 시행될 수도 있습니다. 광범위 절제를 통한 수술을 시행하고 항암화학요법을 병행하는 것이 치료의 근간이 됩니다.
전이성 골종양의 치료 목적은 동통의 완화, 척추 신경의 마비 회복, 병적 골절의 예방과 치료, 기능 회복 그리고 생명 연장에 있습니다. 과거에는 골 전이가 발견되면 대부분 수술적 치료는 포기하고 항암화학요법만 시행하거나 통증 조절만 하는 경우가 많았으나 최근에는 수술 기법과 항암화학요법의 발전으로 골 전이 병소도 적극적으로 치료함으로써 생존 기간의 질적, 양적 향상을 도모하는 추세입니다.
치료 방법은 국소적 요법과 전신적 요법이 있습니다. 국소적 요법은 수술로 전이된 종양을 긁어내거나 방사선 치료를 하는 것으로 주로 유방암, 갑상선암, 전립선암 등에서 전이한 경우에 시행합니다. 전신적 요법은 항암화학요법, 방사선 동위원소 치료(갑상선암 등에서 시행), 호르몬 치료(유방암 등에서 시행) 등이 있습니다.
병적 골절(골실질이 감소되거나, 종양, 감염 등으로 의해 약해진 부위에서 작은 충격이나 일상적 움직임으로 골절이 발생한 경우) 의 경우, 종양을 제거하지 않으면 뼈가 붙지 않으므로 종양을 긁어내는 소파술을 시행한 뒤 골 시멘트와 금속을 이용해 고정을 하면 수술 후 빨리 활동을 할 수 있습니다. 종양을 긁어내는 것은 병변 내 절제술이므로 수술 후 미세 전이를 치료하기 위해 방사선 치료를 추가하는 경우가 많습니다. 실제로 병적 골절이 일어나지는 않았지만, 방사선 검사 상으로 병적 골절이 일어날 가능성이 매우 높은 경우(임박 골절) 골절이 일어나기 전에 예방적인 수술을 시행하는 경우가 있습니다. 임박 골절의 판단에는 방사선 검사가 중요하며, 골 전이암의 크기나 뼈의 부위 등에 따라 골절의 위험도를 평가합니다. 때로는 적절한 방사선 치료에도 불구하고 통증이 호전되지 않는 경우에 예방적 수술로서 시행되기도 합니다.
절단술의 대표적 합병증으로는 관절 구축, 신경종, 환각지 그리고 환각통이 있습니다.
관절 구축은 절단한 부분의 관절이 굳는 것입니다. 수술 후 조기에 근육 및 관절 운동을 시켜 예방할 수 있으며 가벼운 구축은 물리 치료로 해결되나 심한 경우 수술로 이완시켜 주어야 합니다.
신경종은 대부분 신경의 절단부에 발생하는데 신경 절단부가 흉터 조직에 유착이 되어 발생합니다.
환각지와 환각통은 절단 후 절단되어 없어진 부위가 남아있는 듯한 착각을 가지거나 그 부위에 통증이 있는 것을 말합니다. 대부분 의지를 장착하면 감소되거나 사라지지만 간혹 심한 경우는 신경종 제거술이나 약물 치료, 정신과 치료나 전기 자극 치료가 필요할 수도 있습니다.
사지 구제술(사지 보존술) 후의 초기 합병증은 20-35% 정도입니다. 가장 흔한 합병증은 피부 괴사로서, 이것은 금속이나 뼈 바깥쪽의 근육이나 다른 연부 조직이 부족하여 피부 피판이 직접 덮이게 되기 때문입니다. 이러한 창상의 문제는 수술 후 항암화학요법이나 방사선요법을 지연시키게 되어 환자의 예후에 상당한 영향을 줄 수 있습니다.
신경 손상으로 인한 마비 증상, 혈관 손상이나 혈전으로 인한 순환 장애가 올 수 있고 관절의 기능 장애는 대퇴사두근의 절제 정도, 사지의 길이 변화, 수술 후 고정 기간 등 여러 가지 요인에 의해 영향을 받게 됩니다.
종양 대치물을 이용한 재건술을 시행한 경우 조기합병증에는 피부 괴사와 관련된 창상 문제, 감염, 종양대치물 불안정성 및 탈구, 신경 및 혈관 손상, 수술 후 관절 운동지연으로 인한 관절 강직 등의 조기 합병증이 발생할 수 있습니다. 피부괴사 등의 창상 문제는 특히 근위 경골에서 흔한데, 이는 종양주위 연부조직의 광범위한 절제로 인하여 혈액 순환이 좋지 않은 피부가 남게 되고, 주위 근육 조직도 부족하게 되어 종양 대치물이 피부 바로 밑에 놓이는 경우가 많기 때문입니다. 따라서 근위 경골 부위에 종양 대치물을 이용한 재건술 시행시, 비복근(gastrocnemius muscle)의 일부를 떼어 피판으로 덮는 수술방법(flap surgery)을 통해 피부괴사 및 감염 발생률을 감소시키고 있습니다.
수술 후 항암화학요법을 해야 하는 환자는 관절 운동의 소홀로 인해 강직이 많이 발생하므로 이를 막기 위해 항암화학요법을 시작하기 전까지 가급적 많은 운동범위를 얻도록 하며, 항암화학요법 중에도 지속적인 재활 운동을 하도록 해야 합니다. 종양 대치물의 장기합병증에는 지연 감염(delayed infection), 종양 대치물 무균성 해리(aseptic loosening), 종양 대치물의 파단(metal failure), 폴리에틸렌 마모(polyethylene wear), 피로골절 등이 있습니다. 장기 생존 환자가 많아짐에 따라 무균성 해리(aseptic loosening)가 장기적인 합병증의 상당 부분을 차지할 것으로 예상되고 있습니다.
재사용하는 자가 골과 동종 골을 이식 할 경우, 이식된 골과 환자의 뼈 사이가 잘 붙지 않는 불유합, 이식된 골의 골절, 감염, 흡수 등이 발생할 수 있습니다. 특히 불유합의 경우 수술후 1년 이상이 경과되어도 골 유합이 이루어지지 않을 때 불유합으로 판정하는데, 11-17%정도에서 발생되는 것으로 보고되고 있습니다. 불유합의 원인으로는 수술적으로 불완전한 고정이 이루어졌거나, 수술 후 항암화학요법 또는 방사선 치료의 영향 등을 들 수 있겠습니다. 관절 연골을 포함한 동종 골관절 이식술(osteoarticular allograft)을 시행한 경우 특히 하지에서는 관절연골의 마모와 연골하 골의 붕괴가 진행되어 관절기능을 소실할 수도 있습니다.
항암화학요법 후 나타나는 부작용은 항암제의 종류에 따라 다르며, 같은 항암제를 같은 용량으로 투여하더라도 환자에 따라 부작용의 정도가 다르게 나타날 수 있습니다. 일반적으로 골수 기능 저하, 소화 및 간 기능 저하, 탈모증, 신경 및 심장 기능의 부작용을 나타낼 수 있습니다.
방사선 치료의 부작용은 방사선이 적용된 특정 부위나 범위, 조사된 방사선의 양, 환자의 전신 상태에 따라 각기 다르게 나타납니다. 급성으로 나타나는 부작용은 방사선 치료 직후 식욕 감퇴, 무력증, 오심, 구토 등이 있는데, 안정 또는 투약 등으로 쉽게 회복될 수 있습니다. 방사선 치료 후 1~3주 내에 발생할 수 있는 피부 홍반, 건성표피 탈락, 탈모 등의 증상은 방사선 치료가 끝난 후 2~4주 내에 회복되며, 방사선 치료 6개월~2년 후에는 섬유화, 수축, 위축, 성장 장애, 속발성 골절과 속발성 암 발생 등의 증상을 일으킬 수 있습니다. 특히 골육종 환자의 대부분이 소아이므로 방사선 치료 후 성장 및 기능 장애가 발생하지 않도록 세심한 주의를 요합니다.
원발성 악성 골종양의 특징은 조기에 주로 혈류를 통해서 전이한다는 것인데 주로 폐나 타 부위 뼈로 전이됩니다.
국소적인 재발이나 전이는 수술 당시 암의 진행된 정도가 심할수록 높아지게 됩니다. 그러나 암의 생물학적 특성이 다양하므로 모든 환자들은 정기적으로 주의 깊게 재발이나 전이 여부를 검사하는 것이 좋습니다. 최근 항암화학요법의 발달에 따라 원발성 골육종 환자의 생존율이 크게 향상되었지만 초진 시 원격 전이가 있었던 경우나 종양이 재발된 경우 20%에도 못 미치는 장기 생존율을 보이고 있습니다.
국소 재발의 경우는 90%가 2년 내에 일어나게 되므로 의사 및 환자 모두 이 부분에 주의해야 합니다. 통상적으로 수술 후 2년까지는 매 3개월마다 외래를 통해 재발 및 전이 여부에 대한 검사를 시행하고 이후 5년까지는 6개월마다, 5년이 지나면 1년마다 추적 관찰하는 것이 원칙입니다. 국소 재발은 단순 방사선검사나 자기공명영상(MRI) 등의 검사를 하게 되며, 전이가 일어나면 가장 먼저 폐에 전이되고 다음으로 다른 뼈에 전이를 하므로 전이 여부는 흉부 전산화단층촬영(CT)과 전신 골 스캔(bone scan) 검사 또는 양전자방출단층촬영(PET) 검사를 통해 합니다.
골조직에는 림프계가 없기 때문에 전이는 혈액으로 이루어지는데, 골육종은 진단 시 15~20%에서 전이를 확인할 수 있으며 가장 흔한 전이 장소는 폐입니다. 치료 후 국소 재발률은 약 5~10%로 보고되고 있습니다.
연골육종은 충분한 광범위 절제술 후의 국소 재발률이 10~15%이지만 전이가 느려 5년 후에도 약 15%의 환자에게서 재발이 발견됩니다. 따라서 연골육종의 예후를 평가하기 위해서는 적어도 10~15년의 추적 조사가 필요합니다. 주로 폐에 전이하며 국소 림프절 전이는 드뭅니다. 조직학적인 등급이 높을수록 전이 가능성이 높고 내연골종이나 골연골종의 양성 골종양에서 이차적으로 발생된 경우는 주로 저등급입니다.
유잉 육종의 국소 재발률은 약 20~30%로 알려져 있습니다. 주로 폐와 다른 뼈로 전이를 잘하나 국소 부위 또는 림프절 전이는 드뭅니다.
골육종의 경우 사망률과 절단하게 되는 비율이 계속 감소하고 있습니다. 이는 항암화학요법의 발달과 각종 의료 장비의 발전에 의해 종양을 효과적으로 제거한 뒤 결손된 부분을 다시 재건할 수 있기 때문입니다. 과거에는 주로 절단술을 시행하고 5년 생존율도 20% 이하였으나 최근 항암화학요법의 발달과 각종 의료 장비의 발전으로 종양을 효과적으로 제거한 뒤 결손된 부분을 다시 재건할 수 있는 사지 구제술(보존술)을 시행할 수 있기 때문에 5년 생존율이 70~80% 정도로 보고되고 있습니다. 예후에 영향을 미치는 인자로는 수술 전 항암화학요법에 의한 종양 괴사 정도와 병기, 종양의 크기, 해부학적 위치, 병적 골절의 유무 등이 제시되고 있습니다. 진단 시 전이된 경우는 환자의 20~30% 정도에서 장기 생존합니다.
연골육종은 적절한 수술 후의 5년 생존율은 조직학적 등급 Ⅰ인 경우 90%, Ⅱ인 경우 81%, Ⅲ에서는 29%로 보고되고 있으며, 5년 생존율은 50~90%, 10년 생존율은 35~70%입니다. 그러나 전이가 늦으므로 연골육종의 예후를 평가하기 위해서는 적어도 10~15년의 추적 조사가 필요합니다.
유잉 육종의 예후는 항암화학요법이 도입되기 이전에는 수술이나 방사선 치료만 시행해 5년 생존율이 10% 이하였습니다. 하지만 최근 효과적인 항암화학요법의 병용으로 진단 당시 전이가 없고 국소적이며 수술과 항암화학요법을 시행하는 경우 5년 생존율이 50~70%로 크게 향상 되었습니다. 하지만 진단 당시 15~28% 정도에서는 이미 전이가 되어 있는데 이 경우는 5년 생존율이 30% 이하입니다. 골육종에 비해서 수년 이후에도 국소 재발이나 전이를 나타내는 경우가 흔해 장기적인 추적 관찰이 필요합니다.
전이성 골종양의 예후는 주로 원발 암의 종류와 병기에 영향을 받습니다. 장관골에 병적 골절을 동반한 전이성 골종양의 경우는 평균 18.6개월의 생존율을 보이며 전립선암의 경우 29.3개월, 유방암 22.6개월, 신장암 11.8개월 그리고 폐암의 경우 3.6개월로 보고되고 있습니다. 병적 골절이 발생하기 전 보행이 가능했던 환자들 중 94%가 수술 후 보행이 가능했으며, 85%에서 현저하게 동통이 감소되었습니다.
그러나 치료 당시 병이 얼마나 진행되었나에 따라 치료 성적은 차이가 있습니다. 악성도가 높으면서 항암화학요법에 효과가 있으면 70~80% 정도의 생존율을 보이고, 항암화학요법에 효과가 없으면 60% 정도의 생존율을 보입니다. 악성도가 낮은 경우는 82% 정도의 생존율을 보입니다.