연부조직에서 기원한 악성 종양을 의미합니다.
연부조직 육종은 폐나 간장 등의 실질 장기와, 몸을 지탱하는 뼈와 피부를 제외한 지방, 근육, 신경, 인대, 혈관, 림프관 등 우리 몸의 각 기관을 연결하고 지지하며 감싸는 조직에서 발생하는 악성종양을 말합니다.
병인은 잘 알려져 있지 않으나 드문 경우로 유전적 요인, 방사선 조사, 바이러스 감염과 면역 결핍이 연부조직 육종의 발생과 연관성이 있습니다.
현재 특별히 연부조직 육종을 조기검진 할 수 있는 프로그램은 없습니다.
연부조직 육종 중 지방육종, 악성 섬유성 조직구종, 횡문근육종, 상피육종은 무통성 종물이 특징적이며, 활막육종은 동통을 동반한 종창의 증상을 보입니다.
방사선학적 검사로 단순 방사선 사진, 혈관조영술, 전산화단층촬영, 자기공명영상, 양전자방출단층촬영(PET)가 있으며, 조직검사 및 병리학적 검사가 있습니다.
치료방법에는 수술, 항암화학요법, 방사선 요법 등이 있습니다.
사지 구제술 후의 초기 합병증은 20~35% 정도로 보고되고 있습니다. 신경손상으로 인한 마비증상, 혈관 손상이나 혈전으로 인한 순환장애가 올 수 있고, 관절의 기능장애가 나타날 수 있습니다.
연부조직 육종 중 저등급 육종의 무병 생존 환자에게서 국소 재발을 발견하기 위해 최소 10년간 추시 관찰이 필요하며, 고등급 육종의 경우 국소재발과 폐전이를 발견하기 위해 적어도 5년간 추시 관찰이 필요합니다.
연부조직에서 기원한 악성 종양을 의미합니다. 악성 종양(육종)은 양성종양과는 달리 다른 장소로 이동하여 독립된 종양을 발생시키는 능력이 있습니다.

[ 육종 발생부위 ]
연부조직 육종은 폐나 간 등의 실질장기와 몸을 지탱하는 뼈와 피부를 제외한 지방, 근육, 신경, 인대, 혈관, 림프관 등 우리 몸의 각 기관을 연결하고 지지하며 감싸는 조직에서 발생하는 악성종양을 말합니다. 따라서 연부조직 육종은 팔다리, 체간(體幹), 후복막, 두경부 등 몸의 여러 부위에서 발생할 수 있습니다.
후복막과 하지, 특히 대퇴 부위에 잘 발생하고 대부분의 종양이 5~15cm의 크기를 가집니다.
조직구(Histiocyte)에서 기원하며, 섬유모세포와 관련이 많습니다.
호발 부위는 하지 중에서도 대퇴 부위이며, 근골격계 근육과 심부 근막(deep fascia)에서 시작하지만, 10% 미만에서는 피하 지방에서 발생된다는 보고도 있습니다.
자궁이나 소화기 계통, 후복벽, 혈관벽 등에서 생기며, 사지에는 흔하지 않습니다. 남자보다 여자에서 흔하며, 30세 이후에 많습니다.
주로 두경부나 고환 주위에 잘 발생하고, 그 외 후복벽, 흉벽, 복벽 및 상지, 하지에 발생하는데, 상하지는 전체 횡문근 육종 중 7~8% 정도 밖에 되지 않습니다. 신경 섬유종증, 골린 증후군(Gorlin's syndrome), 태아 알코올 증후군과 같은 선천적인 질환과 연관되기도 합니다.
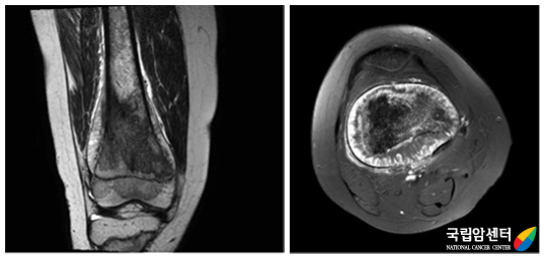
활막육종은 사지의 관절 근처의 건막, 점액낭, 관절막 등과 관계되어 발생되나, 실제 관절 내에 생기는 경우는 드문 악성종양입니다. 호발 부위는 슬관절 주위의 하지에 60% 정도가 발생하고, 상지, 두경부, 흉복부 벽에 생깁니다. 종양은 관절강 외의 연부 조직에 위치하며, 서서히 커지는 악성종양으로 궁극적으로는 폐에 전이됩니다.
과거에는 악성 신경초종(malignant schwannoma)으로 불렀으나, 이렇게 부르면 신경초(Schwann) 세포로 보일 수 있는 모든 악성종양으로 오인될 수 있어, 최근에는 말초 신경의 악성종양(Malignant Peripheral Nerve Sheath Tumor)으로 부르는 것이 타당하다고 하겠습니다. 즉 신경과 신경 섬유종에서 유래된 원추세포육종을 총칭합니다. 주로 20-50세 사이에서 발생하고, 주로 상하지의 중요 신경의 근위부에 잘 생기는데, 약 50% 정도가 신경섬유종 1형에서 발생합니다.
악성 연부 조직 종양 중 가장 드문 형태의 종양으로 주로 노인에게서 발견됩니다.
호발 부위는 대퇴의 원위 1/3부위, 무릎주위, 전완부 또는 후복벽 등입니다. 섬유종이 갑자기 크기가 커진다든지, 외과적 절제 후에 재발한 경우에 섬유 육종을 의심하여야 하며, 육안적으로 주변 조직에 침윤성 성장을 보입니다.
10-35세의 젊은 층에 생기며, 주로 손가락, 손, 손목, 전박부에 생기고, 만성염증이나 궤양을 동반한 상피세포암, 활막육종 등으로 오인되기 쉽습니다.
20-40세의 젊은 층에서 호발하며, 여자에서 좀 더 흔히 발생합니다. 일명 “연부 악성 흑색종”(malignant melanoma of soft parts)으로도 불리나, 멜라닌 색소를 만들 수 있다는 점을 제외하면 흑색종과는 다릅니다. 피부 깊숙이 위치하며, 언제나 건(tendon)이나 건막과 연관되어 발생합니다.
글자 뜻 그대로 혈관주변종양(perivascular tumor) 중 악성을 나타내는 것으로 양성은 손톱 밑에 생기는 사구종(glomus tumor)이 이에 속합니다. 주로 청장년 이후에 발생하고, 어린이에게는 매우 드뭅니다. 주로 대퇴, 골반부, 후복막부에 발생하고 통증이나 압통이 없는 경우가 많기 때문에 양성으로 오인되기 쉽습니다.
종양은 주변과 잘 경계가 지어져 있고, 피막에 싸여 소엽화 되어 있습니다.
지방 육종은 오히려 천천히 자라는 종물이고 종종 심부에 위치하며 크기가 커질 때까지는 증상이 없을 수 있습니다.

[ 오른쪽 대퇴부 지방육종 환자의 사진 ]
사지에서 몇 개월간 자라는 무통성의 종물로 유방암, 호즈킨씨병, 다발성 골수종 환자들 중에서 방사선 치료를 받은 환자에게 발생한다는 보고가 있고, 사고(trauma)와는 무관한 것으로 알려져 있습니다.
종물이 흔히 나타나는 첫 번째 증상이고 급속도로 자랍니다.
관절 주위 또는 건 주위 연부 조직에 동통을 동반한 종창이 시작되고, 수개월 또는 1년 이상에 걸쳐 점차로 커지고 후에는 심한 통증을 호소합니다. 종양은 단단한 편이나 탄력적이며 중증도의 압통도 있습니다.
통증이 없는 조그맣고, 단단한 종괴로 피부 직하부에 생겨, 조금 지나면 피부에 궤양이 생기므로 자칫 피부 궤양, 농양, 감염된 티눈 등으로 오인되어 비전문가가 쉽게 절제해 문제가 되는 경우가 많습니다.
연부조직종양 환자는 동통이나 운동 기능의 변화 없이 촉지되는 종괴를 호소하는 경우가 보통입니다. 대부분 자각증상이 없다가 우연히 발견되는 경우가 많습니다. 급속히 자라는 종양의 일반적인 증상은 통증으로 나타나는데, 연부조직 육종의 경우 상당히 커질 때까지 통증을 보이지 않다가 주위 신경 및 혈관 압박으로 인한 증상으로 내원하는 경우도 많습니다. 과거에 조그마하게 촉지된 종괴가 갑자기 커지거나 없던 통증이 생기는 경우 악성일 가능성이 높습니다. 연부조직 육종은 소아에서 횡문근 육종이 가장 흔한 반면 고령자에서는 악성 섬유성 조직구종과 평활근육종의 발생빈도가 높습니다.
방사선 검사는 최소한 두 방향 이상의 사진을 찍어서 체계적으로 관찰해야 하며 사진의 질이 좋아야 정확한 판독이 가능합니다. 동통은 다른 부위에서 방사된 것일 수 있으므로 인접 부위를 함께 관찰해야 합니다.
전산화단층촬영(CT)이나 자기공명영상(MRI) 상에 혈관이나 신경 등이 잘 나타나지 않거나, 병변 내에 혈관이 위치한 경우, 수술 전 동맥 색전술, 동맥내 항암화학요법을 시행하는 경우 등에는 혈관 조영술이 이용되고 있습니다. 또한 항암화학요법의 치료 효과 판정에도 유용하게 이용되고 있습니다.
종양의 폐전이 유무를 판단하거나 복부 장기로의 전이 등 종양의 병기(stage) 결정에 유용하게 이용되고 있으며, 원발암의 추적 조사 등에도 이용되고 있습니다. 3차원 혈관조영 전산화단층촬영(CT)은 수술 전 종양의 혈관분포도와 종양의 입체를 정확히 확인하는데 도움이 됩니다.

[ 오른쪽 견관절 주위 육종의 전산화단층촬영, 같은 환자의 좌측 폐전이 CT ]
연부조직종양을 판단하는 데 탁월한 검사입니다. 특히 종양의 병기(stage)를 결정하는 데 필수적인 검사로 종양과 주위 조직 특히, 혈관 및 신경과의 상관관계를 파악하는 데 중요한 검사입니다. 또한 종양에 대한 항암화학요법 전후에 영상을 비교하여 치료 효과 판정에 이용하기도 합니다. MR 분광기(spectroscopy)의 사용으로 종양실질의 구성 성분을 예측할 수 있어 진단에 도움을 줍니다.

[ 자기공명영상(MRI) ]
최근에 연부 종양의 진단에 적용하려는 연구들이 많이 보고 되고 있습니다. 양전자방출단층촬영(PET)은 기존의 검사법에 비하여 원격 전이의 진단에 정확성이 높은 검사이며, 연부조직 육종의 전이 및 재발여부를 판단하는데 좋은 검사입니다.

[ 양전자방출단층촬영 ]
종양의 진단에서 가장 확실하고 중요한 방법입니다.
연부조직 종양의 어느 종양에서나 사용 가능합니다. 비교적 간단하며 침습도가 적고, 양성과 악성종양의 구별에 유용하지만 적은 검체의 채취 때문에 진단이 불완전할 수 있습니다.
임상적, 방사선학적으로 종양이 양성인 경우에 시행하여야 하며, 경도(low grade)의 악성종양 등에서 시행할 수 있습니다.
절개 생검(incisional biopsy)시에는 정확한 생검 부위를 선택하며, 충분한 양의 조직을 채취하고, 부위에 따라 종양의 분화도가 다를 수 있으므로 필요에 따라 2-3개 장소에서 채취합니다.

[ 절개 생검 ]
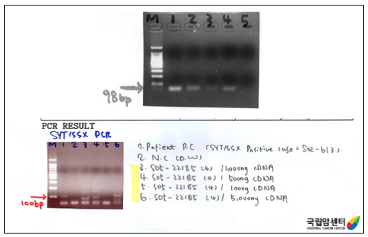
현미경학적인 검사 외에 면역조직화학검사, 전자현미경 검사, 세포유전학적 검사 등을 통해 최종 진단을 결정하게 됩니다. 종합적인 방사선 검사 소견은 조직검사의 계획 수립이나 병리 의사의 진단 결정에 도움이 됩니다. 병리의사는 임상소견과 방사선 검사소견 그리고 수술의사의 소견을 종합하여 최종 진단을 수립합니다.

[ 병리학적 검사 중 세포유전학적 검사 ]
연부 종양에서 병기의 결정은 병의 시기를 확실히 함으로써 예후를 예측할 수 있고, 이를 기초로 치료 계획을 수립할 수 있을 뿐만 아니라, 서로 다른 치료센터에서 치료한 결과를 비교 분석하는 기준이 될 수 있습니다.
해부학적 위치(T)는 구획내(intracompartmental)와 구획외(extracompartmental)로 구분하였는데, 구획은 종양의 파급에 방어벽(barrier)으로 작용하는 해부학적인 구조를 뜻합니다. 여기에는 골피질(cortex), 골막, 관절연골, 건막(facial septa), 건기시부(tendon origin), 근육 등이 방어벽으로 작용합니다
AJCC 병기에서는 종양의 분화 정도, 크기, 표재성 여부, 림프절 전이, 원격 전이 여부에 따라 병기를 판정합니다.
| Stage | Grade | Site Metastases |
|---|---|---|
| IA | Low (G1) | Intracompartmental (T1) None(M0) |
| B | Low (G1) | Extracompartmental (T2) None(M0) |
| IIA | High (G2) | Intracompartmental (T1) None(M0) |
| B | High (G2) | Extracompartmental (T2) None(M0) |
| III | Low or High (G1-2) | Intra or Extra comp. (T1-2) Regional or Distant(M1) |
| 병기 | 종양분화도 | 원발 종양 크기 | 국소전이 | 원전이 |
|---|---|---|---|---|
| IA | G1 | T1 | N0 | M0 |
| IB | G1 | T2 | N0 | M0 |
| IIA | G2 | T1 | N0 | M0 |
| IIB | G2 | T2 | N0 | M0 |
| IIIA | G3 | T1 | N0 | M0 |
| IIIB | G3 | T2 | N0 | M0 |
| IVA | Any G | Any T | N1 | M0 |
| IVB | Any G | Any T | Any N | M1 |
| G-종양 분화도 | T-원발 종양 크기 | N-국소 임파선 침윤 | M-원격 전이 |
|---|---|---|---|
| G1 : 고분화 G2 : 저분화 G3 : 미분화 |
T1 : 5cm 미만 T2 : 5cm 이상 |
N0 : 국소 침윤 없음 N1 : 국소 침윤 없음 |
M0 : 원격 전이 없음 M1 : 원격 전이 있음 |
연부육종은 다양한 분류가 무려 50가지 이상의 많은 아형(subtype)을 가지고 있는 만큼 병의 위험도는 다양하게 나타날 수 있습니다. 즉 어떤 환자들에 있어서는 수술적 제거만으로 완치가 가능한 반면 어떤 종류의 것은 크고 공격적이어서 항암화학요법과 방사선치료가 필요할 수 있습니다.
연부조직 육종 치료의 특수 의료팀은 정형외과 연부조직 종양 클리닉, 소아종양 클리닉, 혈액종양 내과, 치료 방사선과, 병리과, 영상진단의학과로 구성되며, 의견을 종합하여 치료를 계획하고 시행하게 됩니다. 이외에 심리학자, 사회사업가, 어린이 전문가, 영양사, 재활전문가 그리고 물리치료사, 가족을 교육하고 지지해 줄 수 있는 교육전문가 등의 도움이 필요합니다.
수술은 방사선검사와 병리검사 등 여러 가지 수술 전 검사의 결과와 이에 따른 병기(stage)를 고려하여 결정됩니다. 그 밖에 재발의 위험성, 기대되는 기능 회복, 유병 기간 및 심리적인 요인 등을 고려하여야 합니다
연부조직 육종의 치료에는 광범위 절제술, 근치적 절제술이 있습니다.
종양이 있는 팔이나 다리를 절단하지 않고 치료하는 방법을 사지 보존술이라고 합니다.
항암화학요법의 원칙은 가능한 한 고용량을 사용하고, 빨리 시작하며, 약제의 병용 항암화학요법을 사용하는 것입니다. 항암화학요법은 두 가지로 나눌 수 있습니다
목표는 사지보존을 하는 것입니다. 수술 전에 시행하여 종양 크기 감소, 미세 전이 치료, 수술 후 약물 투여 시기 지연 문제를 피할 수 있습니다.
수술 후 남아 있을 수 있는 미세 전이를 치료하는 방법입니다.
방사선 치료는 일부 악성종양에서만 선택적으로 시행하고 있습니다. 일부의 섬유육종과 악성 섬유성 조직구종이 방사선 치료의 대상이 됩니다. 양성종양은 원칙적으로 방사선 치료를 시행하지 않습니다.
방사선 치료는 종양의 종류에 따라 다소 차이가 있으나 통상 5-7주간의 장기 분할 치료를 요합니다.
방사선 치료법은 치료 기관에 따라 다르며 다음과 같이 구분할 수 있습니다.
큰 종양을 가진 경우와 신경과 중요 혈관에 접촉해 있는 경우 수술 전 방사선 치료를 통하여 절제의 범위를 줄이고 사지 구제술의 가능성을 높일 수 있습니다.

[ 좌측 액와부에 육종을 수술 전 방사선 치료 후 수술적 절제를 위한 모습 ]
광범위 절제술 후 원발성 사지 육종의 국소 치료에 도움을 줍니다.
수술 시 종양 절제부와 주변 조직에 플라스틱 관을 삽입하고 절개부를 봉합한 후, 수술 며칠 뒤 이리듐(iridium)-192와 같은 방사선 동위 원소를 삽입된 관을 통해 주입하는 치료 방법입니다. 보통 수술 후 1주 내에 시작하여 4~5일이면 끝납니다.

[ 광범위 육종 절제 후 수술을 끝내기 전에 근접방사선 치료를 위한 관 삽입 모습 ]
높은 분화도(Well-differentiated)형은 완전한 광범위 절제 후에 방사선 치료, 항암화학요법이 필요하지 않습니다. 점액성(myxoid), 역분화성(dedifferentiated) 또는 다형성(pleomorphic)형은 필요에 따라 방사선 치료를 하기도 합니다.

[ 절제해낸 지방육종의 단면과 병리 ]
진단 당시 5cm 정도의 크기이고 30cm 까지 커질 수도 있습니다.
치료는 광범위 절제술과 방사선 치료를 병행하는데, 최근에는 보조적인 항암화학요법이 효과적이라고 보고되고 있습니다.

[ 오른쪽 견갑부 주위 악성섬유성조직구종 환자의 수술적 절제술 사진 ]
후복벽에 생기는 것은 광범위하여 절제 불가능한 것이 많고 가장 예후가 좋지 않습니다. 반면 사지에 생기는 것은 비교적 예후가 좋고, 특히 피부 또는 피하에 생기는 것은 경과가 매우 좋습니다. 항암화학요법은 효과가 미지수이나 고악성도일 경우 시도해 볼 수는 있을 정도이며, 방사선치료 역시 별로 효과가 없어 수술적 광범위 절제술이 치료 방법입니다.

[ 오른쪽 서혜부에 재발성 평활근 육종 환자의 사진과 광범위 절제술후 사진 ]
원발 병소의 자기공명영상(MRI)을 포함하여 전이의 배제를 위하여 전신검사가 필요합니다.
전이율이 높고 전이는 폐, 림프절, 골수에 흔하며, 원발병소가 사지인 경우 림프절 전이가 20% 정도로 흔합니다. 횡문근 육종은 주위 구조물에 침습을 잘하는 공격적인 종양으로 뼈에도 침습을 잘하기 때문에 외과적 절제연을 결정하기가 어렵습니다. 수술적 치료로는 광범위 절제술을 하여야 하며, 근치적 치료 후에도 재발이 되거나 조기에 폐나 림프계로 잘 전이하므로, 방사선 치료와 항암제 투여를 병행하여야 합니다.

[ 왼쪽 상완부에 횡문근육종을 가진 환아의 사진 ]

[ 위 환아의 항암약물치료 후 사진과 병리 사진 ]
방사선상으로는 관절 주위 연부조직에 원형 또는 타원형의 음영을 볼 수 있으며, 간혹 종양 내에 석회화를 나타내기도 합니다.
이 종양은 진행이 느리기는 하지만 결국 폐에 전이됩니다. 종양의 부분 절제나 주위 조직을 불충분하게 절제한 경우 수개월에서 1~2년 이내에 대부분이 재발됩니다. 원발 부위 재발이 없는 경우나 절단 치료 후에도 종종 폐에 전이되는 것으로 보아 활막 육종의 전이는 비교적 초기에 일어난다고 생각할 수 있습니다. 따라서 활막 육종은 광범위 절제술 후 항암제 투여 및 방사선 치료가 재발 및 전이를 억제하는 데 도움이 될 수 있습니다.

[ 왼쪽 무릎관절 주위에 발생된 활막육종 환자의 사진 ]
신경 섬유종 환자에게서 중요 신경의 기시부에 통증이 있거나 갑자기 종물이 만져지면 즉각 조직 검사를 시행해야 합니다. 수술적 제거 시에 원추형으로 볼록한 종양 자체는 물론이고, 근위 및 원위부로 두꺼워진 신경 전부를 광범위하게 제거해야 합니다.

[ 왼쪽 대퇴부의 악성말초신경초종 환자의 절단술 전후 사진 ]
광범위 또는 근치적 절제술이 요구됩니다.
사지 구제술 후의 초기 합병증은 20~35% 정도로 보고되고 있습니다.
신경손상으로 인한 마비증상, 혈관 손상이나 혈전으로 인한 순환장애가 올 수 있고 관절의 기능 장애는 대퇴사두근의 절제 정도, 사지의 길이 변화 등 여러 가지 요인에 의해 영향을 받게 됩니다.
저등급 육종의 무병 생존 환자에게서 국소 재발을 발견하기 위해 최소 10년간 추시관찰이 필요하며, 고등급 육종의 무병 생존 환자에게선 국소 재발과 폐전이를 발견하기 위해 적어도 5년간 추시 관찰이 필요한데, 이는 고등급 육종은 수술 이후 첫 2~5년 사이에 원격 전이의 발생률이 높은 반면, 저등급 육종은 재발 발생 속도가 느리기 때문입니다.
종양의 분화 정도에 따라서 전이율이 다르며, 폐로의 전이가 가장 흔합니다.
연부조직 범위와 종양의 골 침범 정도를 알기 위해서 자기공명영상(MRI)검사가 유용합니다. 폐의 전이에 대해서 알 수 있는 흉부 방사선사진과 전산화단층촬영(CT)은 종양의 병기를 결정하는데 필수적인 검사입니다. 원격 전이는 진단 당시 3~10%로 보고되며 대부분 폐로 전이됩니다.
국소 재발은 10~40%로 보고되고 진단 후 2~3년에 잘 일어납니다.
세포의 이형성, 종양의 크기, 발생위치에 따라 다르나 재발률은 50%를 넘고 진단 당시 약 25%가 전이된 상태입니다.
국소 재발이 흔하고 폐나 주위 림프절로 전이되는 수가 많습니다.
5년 생존율은 점액성(myxoid)형과 높은 분화도(Well-differentiated)형은 약 70% 정도, 다형성(pleomorphic)형과 원형성(round cell)형은 약 50% 정도이며, 후복막 병소인 경우에는 40% 정도입니다.
5년 생존율은 약 60% 정도로 알려져 있습니다.
예후는 5년 생존율이 10~15% 정도로 좋지 않습니다.
예후는 5년 생존율이 40~60%로 보고되고 있으며, 소아에서 발생한 경우 예후는 더 좋아서 5년 생존율이 80% 이상입니다.
예후는 비교적 좋아 5년 생존율이 70% 이상입니다.