요도는 방광에서 소변을 몸 밖으로 배출하는 통로입니다.
요도에 발생하는 암으로, 크게 방광과 음경을 포함하는 다른 요로생식기 암에 대한 과거력이 없으면서 요도에 처음 발생한 원발성 요도암과 방광암 등의 요로생식기암이 요도에 재발한 재발성 요도암으로 나눕니다. 요도를 덮고 있는 상피세포의 조직학적 종류에 따라 이행 세포암, 편평 세포암 그리고 선암 등의 형태로 분류하며 그 밖에 미분화암, 육종, 림프종과 흑색종도 드물게 발생합니다.
요도암의 정확한 원인은 확실하게 밝혀지지 않았으나, 방광암의 과거력, 요도의 만성 염증, 요도의 증식성 병변, 60세 이상의 연령, 여성 등의 요인은 요도암 발생에 중요한 역할을 하는 것으로 알려져 있습니다.
여성 환자의 경우 요도 출혈이나 속옷에 혈흔이 묻어 나오는 증상을 가장 흔하게 호소하며 그 외 빈뇨, 절박뇨, 요실금, 배뇨곤란, 통증 등을 동반하기도 합니다. 또한 궤양이 있는 경우 악취와 분비물이 동반되기도 하며 환자의 25-35%에서는 방광에서 오줌을 배출하지 못하는 급성 요정체 증상을 호소하기도 합니다. 남성 요도암의 가장 흔한 증상은 음경이나 요도에서 덩어리나 결절이 만져지는 경우이며 요도 출혈, 혈뇨 혹은 배뇨곤란 등의 증상을 동반하기도 합니다.
신체 검사, 소변검사, 방광요도 내시경 및 조직검사, 요세포 검사, 방사선 및 핵의학 검사가 있으며, 감별진단 시 진찰만으로는 요도언덕(urethral caruncle), 폴립, 요도점막탈출, 요도곁주머니, 원발질 종양 등과 감별하기 어렵기 때문에 요도경 검사, 방광경 검사와 조직 생검을 함께 시행하여 확진을 합니다. 남성의 경우 요도경유 절제술을 시행하여 뾰족콘딜로마, 폴립 같은 양성병변과 감별진단합니다.
요도암의 표준 치료 방법은 수술을 통한 절제이며 절제 범위는 요도암의 위치와 병기에 의해 결정됩니다. 수술 이외에 방사선 치료, 항암화학요법이 이용 됩니다.
여성 요도암의 경우, 방사선 치료와 관련하여 합병증으로 장 폐색, 누공, 요도협착, 요실금 등의 만성적인 합병증이 15-40%에서 발생하고 있습니다. 병합 요법을 시행한 환자의 약 1/3에서 치료 후 창상 치유, 골반 감염 등의 합병증이 발생할 수 있습니다. 남성의 경우 방사선 치료는 만성적인 음경의 부종과 요도협착을 초래할 수 있습니다.
여성 요도종양은 80% 이상에서 이미 근육이나 국소부위 림프절에 침범된 상태로 진단되며 전체 요도나 방광쪽에 가까운 뒤 요도에 발생한 경우에 더 진행된 상태로 진단하게 됩니다. 남성 요도종양은 요도주위 조직을 직접 침범하거나 요도해면체의 혈관조직으로 전이되기도 하며, 망울-막 요도암이 발생한 경우에는 전립선, 샅, 음낭 피부 등으로 직접 전이하게 됩니다.
요도는 방광에서 소변을 몸 밖으로 배출하는 통로입니다.
성인 여성의 요도는 길이가 4cm 정도이며 질의 상부에 입구가 있습니다. 치골결합의 뒤쪽 아래에 위치하며, 앞쪽 아래로 주행하고, 뒤쪽은 질의 앞쪽 벽에 단단히 부착되어 있으며 요도 입구와 가까운 앞 요도와 방광에 가까운 뒤 요도로 구성됩니다. 성인 남성의 요도는 길이가 15-20cm 정도고 전립선과 음경을 통과하여 요도 입구로 연결되며 소변과 정액 배출의 통로가 됩니다. 남성 요도는 전립선 요도와 막 요도를 포함하는 뒤 요도, 망울 요도와 음경 요도를 포함하는 앞 요도로 나뉩니다.
각 요도의 부위에 따라 요도를 덮고 있는 세포의 종류가 달라 발생하는 암의 종류에도 차이가 있으며 조직해부학적인 차이 때문에 일반적으로 남녀를 구분하여 다루어 집니다.

[ 남성 요도의 구조와 부위에 따른 요도암의 종류 ]

[ 여성 요도의 구조와 부위에 따른 요도암의 종류 ]
요도암이란 요도에 발생하는 암으로, 크게 방광과 음경을 포함하는 다른 요로생식기 암에 대한 과거력이 없으면서 요도에 처음 발생한 ‘원발성 요도암’과 방광암 등의 요로생식기암이 요도에 재발한 ‘재발성 요도암’으로 나눕니다. 재발성 요도암의 경우에는 방광암 등의 원발성 암의 특성에 따라 치료를 결정하게 되므로 이곳에서는 원발성 요도암에 국한해서 설명하고자 합니다.
요도암의 증상은 다양하게 나타납니다. 요도암의 초기에는 증상이 없는 경우가 많으며, 다른 일반적인 질환의 증상과 비슷하여 구분하기 어렵습니다.
여성 환자의 경우 요도 출혈이나 속옷에 혈흔이 묻어나오는 증상을 가장 흔하게 호소하며, 그 외 빈뇨, 절박뇨, 요실금, 배뇨곤란, 통증 등을 동반하기도 합니다. 또한 궤양이 있는 경우 악취와 분비물이 동반되기도 하며 환자의 25-35%에서는 방광에서 오줌을 배출하지 못하는 급성 요정체 증상을 호소하기도 합니다.
남성 요도암의 가장 흔한 증상은 음경이나 요도에서 덩어리나 결절이 만져지는 경우이며, 요도 출혈, 혈뇨 혹은 배뇨곤란 등의 증상을 동반하기도 합니다.
다음과 같은 증상이 있는 경우에는 의사의 진료를 받아야 합니다.
요도암은 의사의 진찰과 함께 여러 검사를 종합적으로 시행하여 진단하게 됩니다.
외부 성기, 요도, 회음부를 촉진하고 직장수지검사 및 골반 내진을 시행하여 이상 증상을 촉진하고 종양의 위치, 크기, 양상, 범위 및 고정 여부를 평가합니다.
가장 필수적인 검사 방법의 하나이며, 소변 검사를 통해 혈뇨 여부를 확인할 수 있습니다. 요로증상이나 징후가 있는 환자는 반드시 소변 검사를 시행해야 합니다.
방광요도 내시경은 아래 요도와 위 요도의 진단과 치료에 가장 중요하며 흔하게 시행하는 시술입니다. 방광요도 내시경을 통해 종양을 시각적으로 확인하고 내시경 하에서 조직검사를 시행하여 요도암을 확진합니다. 전립선요도종양은 내시경하 조직검사와 경직장(직장을 통해) 전립선조직검사를 모두 시행하여 진단하며, 면역화학염색과 같은 특수염색을 통한 원발성 전립선암과의 감별 진단이 필요합니다.

[ 방광내시경 검사 ]
이행세포암이 의심되는 경우에는 요세포 검사를 통해 암세포의 존재를 확인할 수 있습니다.

[ 요세포검사_현미경 ]
흉부 단순촬영(X-ray), 복부골반 전산화단층촬영(CT), 자기공명영상(MRI), 뼈동위원소검사(Bone scan)를 이용하게 됩니다. 국소 연부조직의 침윤과 림프절의 전이 여부는 전산화단층촬영(CT) 혹은 자기공명영상(MRI)을 통해 진단하고, 특히 요도암에 의한 음경 해면체의 침윤을 확인하는 데는 자기공명영상(MRI)가 유용합니다. 그 외 요도암의 국소 진행으로 직장의 침윤이 의심되는 경우에는 에스결장 내시경을 시행할 수 있습니다. 상부요로를 평가하기 위해서는 경정맥 신우조영술(IVP)을 시행합니다.
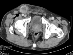
림프절 전이에 의한 우측 서혜부 림프절의 비대가 관찰됩니다.

[ 요도암 환자의 골반 컴퓨터 촬영 ]
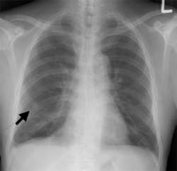
암의 전이로 의심되는 폐 병변이 관찰됩니다.

[ 암의 전이로 의심되는 흉부 X-ray 검사 ]
경추, 흉추 및 요추에 다발성 골전이 병변이 관찰됩니다.

[ 경추, 흉추, 및 요추에 다발성 골전이 병변이 관찰되는 뼈동위원소 검사 ]
일반적으로 요도암의 진행은 주위 조직을 직접 침범하는 경우와 림프관을 통해 전이를 일으키는 경우가 있으며 진단 당시에 이미 림프절의 전이를 동반하는 경우가 흔합니다. 이에 비해 혈관을 통한 전이는 진행된 요도암의 경우나 전립선 요도에 이행세포암이 발생한 경우를 제외하고는 드물게 발생합니다.
| TNM병기 | 정의 | |
|---|---|---|
| 전립선요도 종양 병기 (T) Primary tumor in prostatic urethra |
Tis-pu | 상피세포내암이 전립선요도를 침윤 |
| Tis-pd | 상피세포내암이 전립선도관을 따라 침윤 | |
| T1 | 상피하층에 국한 | |
| T2 | 전립선 실질, 요도해면체나 요도 주위 근육 침윤 | |
| T3 | 음경해면체, 전립선 피막을 넘거나 방광경부를 침윤 | |
| T4 | 방광을 포함한 주위 장기로의 침윤 | |
| 림프절병기(N) Regional lymph nodes |
NX | 림프절 전이 여부를 판단할 수 없음 |
| N0 | 림프절 전이 없음 | |
| N1 | 직경 2cm 이하의 단일 림프절 침윤 | |
| N2 | 2cm 초과 5cm 이하의 단일 림프절 침윤 혹은 5cm 이하의 다수 림프절 침윤 | |
| N3 | 직경 5cm 초과의 림프절 침윤 | |
| 원격전이(M) Distant metastasis |
MX | 원격 전이 여부를 판단할 수 없음 |
| M0 | 원격 전이 없음 | |
| M1 | 원격 전이 있음 | |
| TNM 조합에 의한 병기 구분 | ||
| Stage 0(Ta, Tis 상피내암) | 요도를 덮고 있는 상피에만 암세포가 있는 경우 | |
| Stage A(T1) | 요도 상피층의 아래로 암세포가 침범한 경우 | |
| Stage B(T2) | 요도 주위 근육층을 침범한 경우, 남성에서는 요도해면체를 침범한 경우 | |
| Stage C(T3,T4) | 요도 주위 조직을 넘어서 여성에서는 질, 음순, 혹은 주위 골반 근육을 침범, 남성에서는 음경 혹은 골반근육을 침범한 경우 | |
| Stage D(LN+or M1) | 림프선이나 타 장기로의 전이를 동반한 경우 | |
진찰만으로는 요도언덕(urethral caruncle), 폴립, 요도점막탈출, 요도곁주머니, 원발성 질종양 등과 감별하기 어렵기 때문에 요도경 검사, 방광경 검사와 조직 생검을 함께 시행하여 확진을 합니다.
남성의 경우 요도경유절제술을 시행하여 뾰족콘딜로마, 폴립 같은 양성병변과 감별진단이 필요합니다. 전립선요도 종양의 진단은 내시경하 조직검사와 경직장 전립선조직검사를 모두 시행하고, 면역화학염색과 같은 특수염색을 통한 원발성 전립선암과의 감별진단이 필요합니다.
요도암의 표준 치료 방법은 수술을 통한 절제이며 절제 범위는 요도암의 위치와 병기에 의해 결정됩니다. 일반적으로 요도의 입구에 가까운 앞 요도암은 수술적 절제가 가능하며 예후가 좋은 반면 요도 중 방광 쪽에 가까운 뒤 요도암은 광범위한 국소 침윤이나 원격 전이를 종종 보여 불량한 예후를 가집니다. 그 외 방사선 치료와 항암화학 요법이 있으며 진행된 요도암의 경우에는 방사선 치료 후 수술적 치료를 시행하는 병합 요법을 적용하기도 합니다.
초기 병변의 경우 전기를 이용한 절제법
초기 병변의 경우 레이저 빔을 이용한 절제법
수술로써 종양을 절제하는 방법
요도를 수술로 제거하는 경우에는 소변을 몸 밖으로 배출하는 통로를 새로 만들어 주는 요로전환술이 필요합니다. 방광까지 제거하는 경우에는 장루와 유사하게 소장이나 대장을 이용하여 길을 만들어 몸 밖으로 연결하여 소변이 배출될 수 있게 합니다.
방사선치료는 고에너지의 엑스레이(X-ray) 혹은 방사선을 이용하여 암세포를 파괴하는 치료입니다. 외부 방사선 치료와 내부 방사선 치료로 구분됩니다.
항암제를 이용하여 요도암을 치료하는 방법입니다. 요도암은 조직형에 따라 항암제 종류가 달라집니다.
수술, 방사선 치료, 항암화학요법 등을 병합하여 치료하는 방법으로, 예를 들어 수술 후에 보조 방사선치료 혹은 보조 항암화학요법을 시행하는 방법이 있습니다.
요도는 해부학적으로 남성과 여성이 다른 구조를 가지고 있고 발생 부위에 따라 치료 방법에 차이가 있습니다. 다음은 성별과 발생 부위에 따른 요도암의 치료 방법입니다.
대개 요도 입구의 표면 근처에 위치하고, 국소 종양인 경우가 많으며, 림프절 전이 빈도가 낮아 국소 절제로 치료가 가능한 경우가 많습니다. 국소 환상절제와 질의 전벽 일부를 수술로 절제합니다. 레이저 빔을 이용한 치료와 방사선치료를 적용하기도 합니다. 진행된 경우에는 방광, 요도, 질, 자궁을 제거하는 골반 전반부절제술을 시행하고 요로 전환술을 시행합니다.
요도 중 방광과 가까운 부위에 발생한 침윤성 요도암 혹은 요도 전체에 걸쳐 발생한 경우에는 방광요도절제술 및 질의 부분 혹은 완전 절제와 같은 광범위한 절제가 필요합니다. 이는 수술 후에도 매우 불량한 예후를 보이기 때문에 수술 전 및 수술 후에도 방사선 치료나 항암화학요법을 시행하는 병합요법을 시행합니다.
남성의 요도종양은 수술 또는 수술과 방사선 치료의 병용요법을 시행합니다. 방사선치료는 수술을 거부하거나 수술의 적응증이 아닌 낮은 병기의 요도입구 쪽 ‘앞요도종양’에서 이용될 수 있습니다. 방사선치료는 음경을 보존할 수 있다는 이점은 있으나, 부작용 및 새로운 종양의 발생을 막을 수 없다는 단점이 있습니다. 전이 요도종양은 항암화학요법, 방사선치료와 수술을 함께 이용할 수 있습니다.
표면 근처에 위치하는 암이나 상피내암과 같은 조기 병변인 경우에는 요도 내시경을 이용한 절제 및 소작술을 이용할 수 있습니다. 하지만 종양이 요도해면체를 침범한 경우와 먼 쪽 음경요도의 절반 내로 국한된 경우에는 2cm 정도의 안전 범위를 확보하여 부분 음경 절제술을 시행합니다. 침윤암이 몸 쪽 음경요도 혹은 요도 전체에 발생한 경우에는 완전 음경 절제술의 적응증이 됩니다. 샅고랑 림프절이 촉지되고 원격 전이의 증거가 없는 경우에는 샅고랑 및 장골 림프절 절제술의 적응증이 됩니다. 예방적인 림프절 절제술의 효과는 없으며, 샅고랑 림프절의 비대가 관찰되는 경우는 골반 림프절절제술도 병행합니다. 그 외 레이저 및 방사선 치료를 적용하게 됩니다.
초기에는 내시경적 절제나 부분절제 후 단-단 문합을 시행할 수 있습니다. 그러나 초기에 발견되는 경우가 드물어 예후가 불량한 경우가 대부분이며, 항암화학요법, 방사선치료와 수술을 병용하는 병합요법이 필요합니다. 외과적으로 완전 절제를 하는 것이 낮은 재발율과 장기 생존을 보이고 있어 방광전립선절제술, 골반림프절제술, 완전 음경절제술을 시행하게 됩니다. 샅고랑 림프절절제술은 림프절이 비대된 경우에만 시행하여 골반강 내 림프전이가 있으면 완치에 어려움이 있습니다.
전립선요도의 표면 근처 병변의 경우에는 내시경 절제술, 또는 요도경유 전립선절제술을 시행합니다. 상피내암종이면 요도경유 전립선절제술 후 BCG를 방광에 주입하고 이와 같은 치료에 반응이 없거나 계속 진행되면 방광전립선절제술과 요도절제술을 고려해야 합니다. 전립선 실질을 침범하고 방광의 기저부를 침범하고 있는 경우에는 방광전립선절제술과 전요도절제술을 시행해야 합니다. 전립선실질의 침범이 있으면 예후가 불량하고 근치 방광전립선절제술을 시행하지만, 근치 수술을 할 수 없는 경우나 요로기능을 보존할 목적으로 항암화학요법 후 광범위한 요도경유 전립선절제술을 하기도 합니다. 전립선요도에서 발생한 이행세포암은 대부분 방광암과 동반되므로 방광암의 치료에 준합니다.
여성 요도암의 경우, 방사선 치료와 관련하여 합병증으로 장 폐색, 누공, 요도협착, 요실금 등의 만성적인 합병증이 15-40%에서 발생하고 있습니다. 병합 요법을 시행한 환자의 약 1/3에서 치료 후 창상 치유, 골반 감염 등의 합병증이 발생할 수 있습니다. 남성의 경우 방사선 치료는 만성적인 음경의 부종과 요도협착을 초래할 수 있습니다.
여성 요도종양은 80% 이상에서 이미 근육이나 국부위 림프절에 침범된 상태로 진단되며 전체 요도나 방광쪽에 가까운 뒤 요도에 발생한 경우에 더 진행된 상태로 진단하게 됩니다. 여성에서 림프절의 전이는 남성과 유사하며 진단 시 요도암 환자의 30%에서는 샅고랑 림프절의 종대가 관찰되며 이 중 20%에서는 골반 림프절의 전이를 동반하고 있습니다. 앞 요도에서 발생하는 종양은 샅고랑 림프절로, 뒤 요도나 전체 요도에서 발생하는 종양은 골반 림프절로 전이가 됩니다. 진단 당시 골반 밖으로의 원격 전이는 드뭅니다.
남성 요도종양은 요도주위 조직을 직접 침범하거나 요도해면체의 혈관조직으로 전이되기도 하며, 망울-막 요도암이 발생한 경우에는 전립선, 샅, 음낭 피부 등으로 직접 전이하게 됩니다. 대부분의 전이는 림프를 통해 일어납니다. 림프관을 통한 전이는 요도암의 발생 위치에 따라 차이가 있어 앞 요도에서는 샅고랑 림프절로 주로 전이가 발생하며 뒤 요도의 경우에는 골반 림프절로 흔하게 전이가 일어납니다. 요도암 환자에서 서혜부 림프절이 촉지되는 경우가 20% 정도에서 발생하며 대개 전이를 시사합니다.
먼 곳 전이는 드물지만 전이 된다면 폐, 간, 뼈와 뇌로 전이가 됩니다.
국소 치료를 위한 가장 중요한 예후 인자는 해부학적 발생 위치와 종양의 병기이며 낮은 병기의 앞 요도암은 높은 병기의 뒤 요도암에 비해 예후가 좋습니다. 병기, 병변 부위, 림프절 전이 여부가 생존율의 예측인자로 사용되고 있습니다.
진행된 병기에 있어 불량한 예후 인자로는 주위 장기의 침윤, 연부 조직의 침윤으로 인해 절제면 음성을 얻을 수 없는 경우 (완전 절제가 불가능한 경우), 림프절 전이, 전이 병변에 대한 부적절한 치료 등이 있습니다. 국소 진행성 병변에서 단일 치료는 흔히 실패하게 되고 국제적인 5년 생존율은 20% 이하가 되며 국소 재발이 66% 이상이 됩니다. 전립선요도 종양에서 침윤성 요도암의 5년 생존율은 6-26% 정도로 불량한 예후를 보입니다. 외요도구암의 5년 생존율은 60-90%이나, 그 외의 경우는 20-40%로 낮습니다.